missing translation for 'onlineSavingsMsg'
Learn More
Learn More
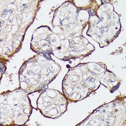
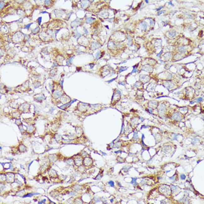
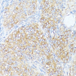
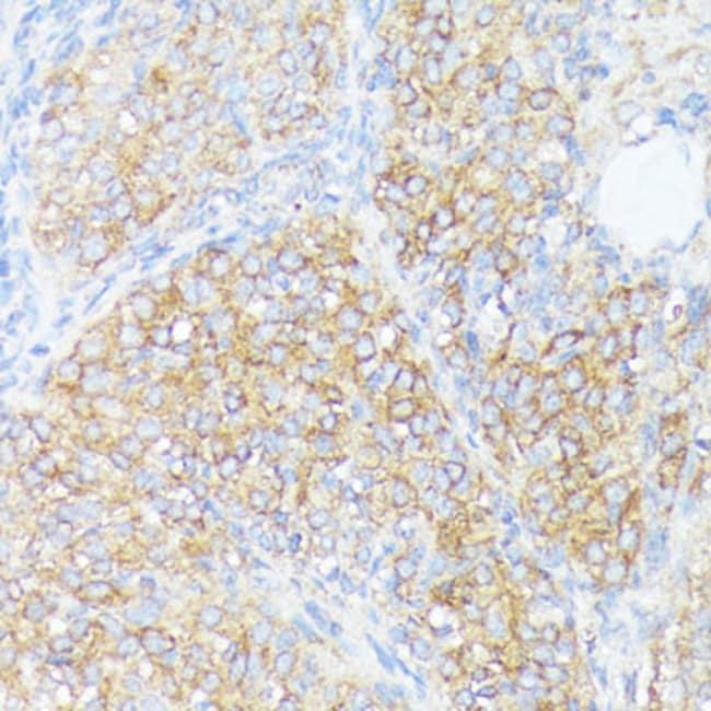
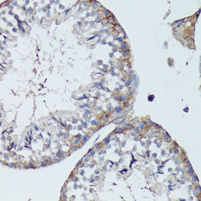
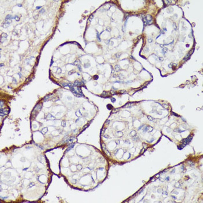
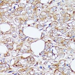
Invitrogen™ SLC7A2 Polyclonal Antibody

Description
Immunogen sequence: PRNLSSPFIF HEKTSEF Positive Samples: 293T, HepG2, HeLa, Mouse liver, Mouse brain, Rat liver; Cellular Location: Cell membrane, Multi-pass membrane protein.
The protein encoded by this gene is a cationic amino acid transporter and a member of the APC (amino acid-polyamine-organocation) family of transporters. The encoded membrane protein is responsible for the cellular uptake of arginine, lysine and ornithine. Three transcript variants encoding different isoforms have been found for this gene.
Specifications
Specifications
| Antigen | SLC7A2 |
| Applications | ELISA, Immunohistochemistry (Paraffin), Western Blot |
| Classification | Polyclonal |
| Concentration | 1.68 mg/mL |
| Conjugate | Unconjugated |
| Formulation | PBS with 50% glycerol and 0.09% sodium azide; pH 7.3 |
| Gene | Slc7a2 |
| Gene Accession No. | B5D5N9, P18581, P52569 |
| Gene Alias | 20.5; AI158848; amino acid transporter, cationic 2 (low affinity); ATRC2; CAT2; CAT-2; Cat2a; Cat2b; Cationic amino acid transporter 2; cationic amino acid transporter 2A; cationic amino acid transporter 2B; cationic amino acid transporter-2A; HCAT2; low affinity cationic amino acid transporter 2; Slc7a2; solute carrier family 7 (cationic amino acid transporter, y+ system), member 2; solute carrier family 7 member 2; solute carrier family 7, member 2; T-cell early activation protein; TEA |
| Gene Symbols | Slc7a2 |
| Show More |
Product Title
By clicking Submit, you acknowledge that you may be contacted by Fisher Scientific in regards to the feedback you have provided in this form. We will not share your information for any other purposes. All contact information provided shall also be maintained in accordance with our Privacy Policy.
Spot an opportunity for improvement?