missing translation for 'onlineSavingsMsg'
Learn More
Learn More
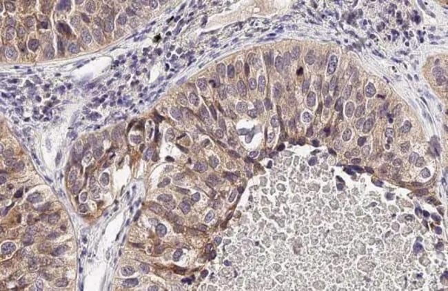
Invitrogen™ SLC7A5 Recombinant Rabbit Monoclonal Antibody (HL2353)

Description
SLC7A5 Recombinant Monoclonal Antibody for Western Blot, ICC/IF, IHC (P)
Solute carrier family 7 member 5 also known as large neutral amino acids transporter small subunit 1 is a protein that in humans is encoded by the SLC7A5 gene.It is sodium-independent, high-affinity transport of large neutral amino acids such as phenylalanine, tyrosine, leucine, arginine and tryptophan, when associated with SLC3A2/4F2hc.It involved in cellular amino acid uptake and the transport of L-DOPA across the blood-brain barrier, and that of thyroid hormones triiodothyronine (T3) and thyroxine (T4) across the cell membrane in tissues such as placenta.Acts as an amino acid exchanger and plays a role in neuronal cell proliferation (neurogenesis) in brain.
Specifications
Specifications
| Antigen | SLC7A5 |
| Applications | Immunohistochemistry (Paraffin), Western Blot, Immunocytochemistry |
| Classification | Recombinant Monoclonal |
| Clone | HL2353 |
| Concentration | 1 mg/mL |
| Conjugate | Unconjugated |
| Formulation | PBS with no preservative |
| Gene | SLC7A5 |
| Gene Accession No. | Q01650, Q63016, Q9Z127 |
| Gene Alias | 4F2; 4F2 LC; 4F2 light chain; 4F2HC; 4F2LC; 4T2HC; CD98; CD98 light chain; CD98HC; CD98LC; D0H16S474E; D16S469E; E16; hLAT1; integral membrane protein E16; large neutral amino acids transporter 1; large neutral amino acids transporter small subunit 1; LAT1; LAT-1; L-type amino acid transporter 1; MDU1; MP hLAT1; MPE16; NACAE; Protein TA1; SLC7A5; sodium-independent neutral amino acid transporter LAT1; solute carrier family 7 (amino acid transporter light chain, L system), member 5; solute carrier family 7 (cationic amino acid transporter, y+ system), member 5; solute carrier family 7 member 5; Ta1; tumor-associated protein 1; y+ system cationic amino acid transporter |
| Show More |
Product Title
By clicking Submit, you acknowledge that you may be contacted by Fisher Scientific in regards to the feedback you have provided in this form. We will not share your information for any other purposes. All contact information provided shall also be maintained in accordance with our Privacy Policy.
Spot an opportunity for improvement?