missing translation for 'onlineSavingsMsg'
Learn More

SLC7A8 Mouse anti-Human, Clone: OTI7D6, lyophilized, TrueMAB™

Mouse Monoclonal Antibody

Brand:  Origene Technologies CF500515

Encompass_Preferred

Product Code. 17630591

  • € 726.00 / 100µg

Please to purchase this item. Need a web account? Register with us today!

This item is not returnable. View return policy

Description

Description

Reconstitute with PBS (pH 7.3) and recommend to perform another round of desalting process using Product No. 7KMWCO

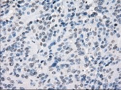
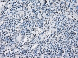
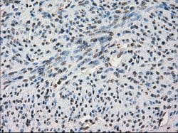
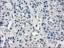
SLC7A8 is sodium-independent, high-affinity transport of large neutral amino acids. It has higher affinity for L-phenylalanine than LAT1 but lower affinity for glutamine and serine. L-alanine is transported at physiological concentrations. SLC7A8 also plays a role in basolateral (re)absorption of neutral amino acids.
Specifications

Specifications

SLC7A8
Monoclonal
Unconjugated
SLC7A8
LAT2, LPI-PC1
Mouse
Affinity Chromatography
RUO
23428
-20° C, Avoid Freeze/Thaw Cycles
Lyophilized
Immunohistochemistry (Paraffin), Western Blot
OTI7D6
PBS with 8% trehalose and no preservative; pH 7.3
Q9UHI5
SLC7A8
Full-length protein expressed in 293T cell transfected with human SLC7A8 expression vector
100 μg
Primary
Human
Antibody
IgG1
Product Suggestions

Product Suggestions

Videos
SDS
Documents

Documents

Certificates
Promotions

Promotions

Product Content Correction

The Fisher Scientific Encompass Program offers items which are not part of our distribution portfolio. These products typically do not have pictures or detailed descriptions. However, we are committed to improving your shopping experience. Please use the form below to provide feedback related to the content on this product.

Product Title

By clicking Submit, you acknowledge that you may be contacted by Fisher Scientific in regards to the feedback you have provided in this form. We will not share your information for any other purposes. All contact information provided shall also be maintained in accordance with our Privacy Policy.

Thank You! Your feedback has been submitted. Fisher Scientific is always working to improve our content for you. We appreciate your feedback.