missing translation for 'onlineSavingsMsg'
Learn More
Learn More
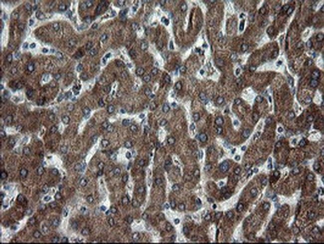
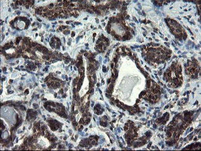
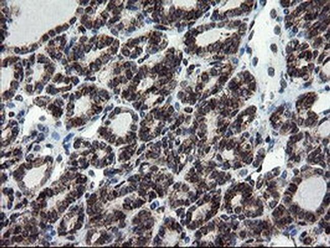
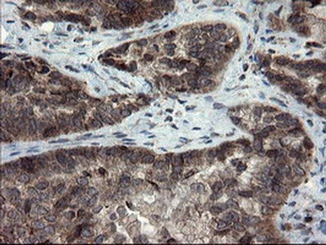
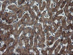
Invitrogen™ SnoN Monoclonal Antibody (OTI3F6)

Description
SnoN Monoclonal Antibody for Western Blot, IHC (P)
TGF-beta is a ubiquitously expressed cytokine that signals through the Smad protein family to regulate numerous cellular processes such as embryonic development and tumorigenesis. This signaling is negatively regulated by Ski, the mammalian homolog of the transforming protein of an avian retrovirus that induces oncogenic transformation of chicken embryo cells, and the related protein SnoN. Like Ski, SnoN functions by binding to the Smad proteins and preventing their phosphorylation, thereby inhibiting their ability to bind DNA and activate the transcription of downstream genes. SnoN is located primarily in the nucleus in cancer tissues or cells, but in the cytoplasm in normal tissues or primary epithelial cells.
Specifications
Specifications
| Antigen | SnoN |
| Applications | Immunohistochemistry (Paraffin), Western Blot |
| Classification | Monoclonal |
| Clone | OTI3F6 |
| Concentration | 1 mg/mL |
| Conjugate | Unconjugated |
| Formulation | PBS with 1% BSA, 50% glycerol and 0.02% sodium azide; pH 7.3 |
| Gene | SKIL |
| Gene Accession No. | P12757 |
| Gene Alias | EGK_11909; LOW QUALITY PROTEIN: ski-like protein; SKI like proto-oncogene; ski/sno related; SKIL; SKI-like; SKI-like oncogene; ski-like protein; ski-like protein-like; SKI-like proto-oncogene; Skir; ski-related oncogene; ski-related oncogene snoN; Ski-related protein; SNO; SnoA; SnoI; SnoN; v-ski sarcoma viral oncogene homolog |
| Show More |
Product Title
By clicking Submit, you acknowledge that you may be contacted by Fisher Scientific in regards to the feedback you have provided in this form. We will not share your information for any other purposes. All contact information provided shall also be maintained in accordance with our Privacy Policy.
Spot an opportunity for improvement?