missing translation for 'onlineSavingsMsg'
Learn More
Learn More
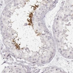
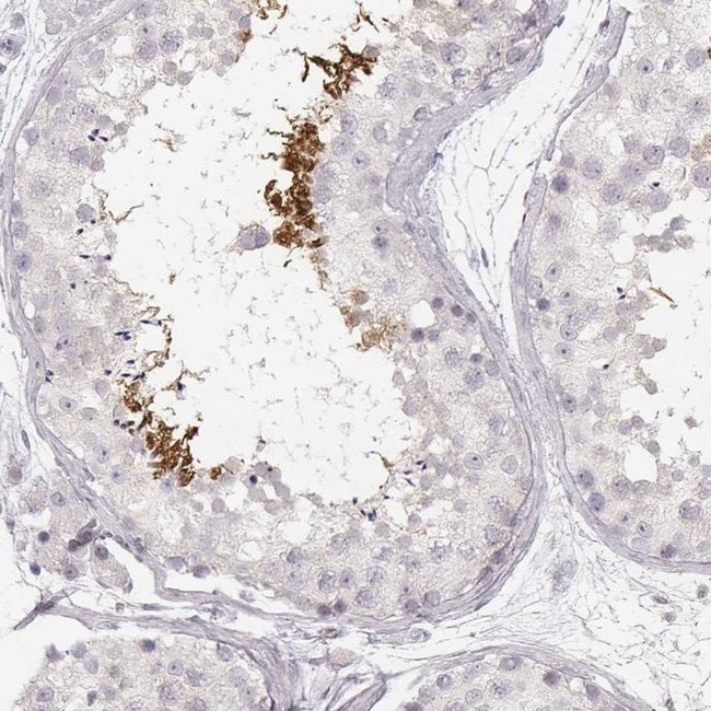
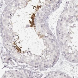
Invitrogen™ SPATA24 Polyclonal Antibody

Rabbit Polyclonal Antibody
Brand: Invitrogen™ PA560578
This item is not returnable.
View return policy
Description
Immunogen sequence: ESQEELIHQL RNVMVLQDEN FVSKEEFQAV EKKLVEEKAA HAKTKVLLAK EEEKLQFALG EVEVLSKQLE KEKLAFEKAL SSVKSKVLQE SSKKDQLIT Highest antigen sequence identity to the following orthologs: Mouse - 94%, Rat - 95%.
Specifications
| SPATA24 | |
| Polyclonal | |
| Unconjugated | |
| SPATA24 | |
| CCDC161; coiled-coil domain containing 161; SPATA24; spermatogenesis associated 24; spermatogenesis-associated protein 24; T6441; Testis protein T6441 homolog | |
| Rabbit | |
| Antigen Affinity Chromatography | |
| RUO | |
| 202051 | |
| Store at 4°C short term. For long term storage, store at -20°C, avoiding freeze/thaw cycles. | |
| Liquid |
| Immunohistochemistry (Paraffin), Western Blot, Immunocytochemistry | |
| 0.8 mg/mL | |
| PBS with 40% glycerol and 0.02% sodium azide; pH 7.2 | |
| Q86W54 | |
| SPATA24 | |
| Recombinant protein corresponding to Human SPATA24. Recombinant protein control fragment (Product #RP-100225). | |
| 100 μL | |
| Primary | |
| Human | |
| Antibody | |
| IgG |
Product Content Correction
Your input is important to us. Please complete this form to provide feedback related to the content on this product.
Product Title
Spot an opportunity for improvement?Share a Content Correction