missing translation for 'onlineSavingsMsg'
Learn More
Learn More
Invitrogen™ SPT5 Recombinant Rabbit Monoclonal Antibody (9V9G7)

Rabbit Recombinant Monoclonal Antibody
Brand: Invitrogen™ MA542686
This item is not returnable.
View return policy
Description
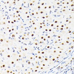
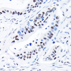
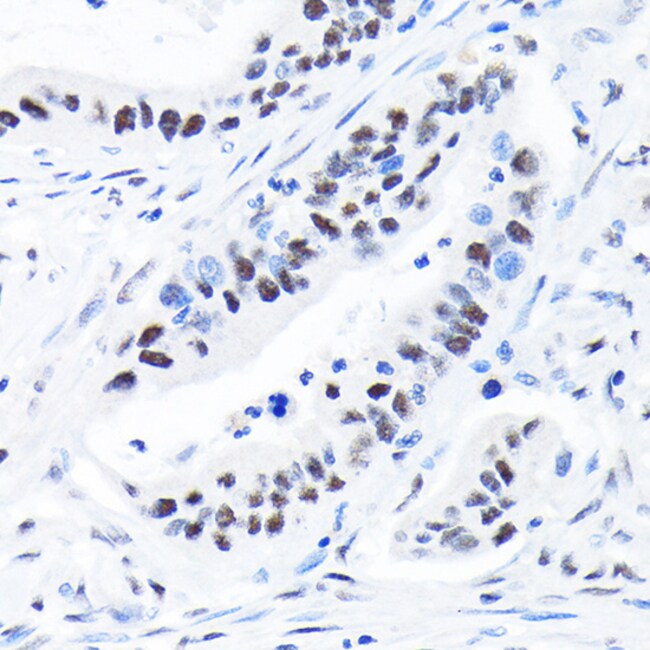
Positive test controls include: HeLa. The target is usually found in the following locations: Nucleus. Immunogen sequence: PHYGSQTPLH DGSRTPAQSG AWDPNNPNTP SRAEEEYEYA FDDEPTPSPQ AYGGTPNPQT PGYPDPSSPQ VNPQYNPQTP GTPAMYNTDQ FSPYAAPSPQ G.
Component of the DRB sensitivity-inducing factor complex (DSIF complex), which regulates mRNA processing and transcription elongation by RNA polymerase II. DSIF positively regulates mRNA capping by stimulating the mRNA guanylyltransferase activity of RNGTT/CAP1A. DSIF also acts cooperatively with the negative elongation factor complex (NELF complex) to enhance transcriptional pausing at sites proximal to the promoter. Transcriptional pausing may facilitate the assembly of an elongation competent RNA polymerase II complex. DSIF and NELF promote pausing by inhibition of the transcription elongation factor TFIIS/S-II. TFIIS/S-II binds to RNA polymerase II at transcription pause sites and stimulates the weak intrinsic nuclease activity of the enzyme. Cleavage of blocked transcripts by RNA polymerase II promotes the resumption of transcription from the new 3' terminus and may allow repeated attempts at transcription through natural pause sites. DSIF can also positively regulate transcriptional elongation and is required for the efficient activation of transcriptional elongation by the HIV-1 nuclear transcriptional activator, Tat. DSIF acts to suppress transcriptional pausing in transcripts derived from the HIV-1 LTR and blocks premature release of HIV-1 transcripts at terminator sequences. [UniProt].
Specifications
| SPT5 | |
| Recombinant Monoclonal | |
| 0.33 mg/mL | |
| PBS with 0.05% BSA, 50% glycerol and 0.02% sodium azide; pH 7.3 | |
| O00267, O55201 | |
| Supt5, SUPT5H | |
| A synthetic peptide corresponding to a sequence within amino acids 800-900 of human SUPT5H/SPT5 (O00267). | |
| 100 μL | |
| Primary | |
| Human, Mouse, Rat | |
| Antibody | |
| IgG |
| ELISA, Immunohistochemistry (Paraffin), Western Blot, Immunocytochemistry | |
| 9V9G7 | |
| Unconjugated | |
| SUPT5H | |
| AL033283; AL033321; AU019549; DRB sensitivity-inducing factor 160 kDa subunit; DRB sensitivity-inducing factor large subunit; DSIF large subunit; DSIF p160; etID10129.15; etID37101.15; fb37g01; fb95e05; fog; foggy; hSPT5; protein foggy; Spt5; SPT5 homolog, DSIF elongation factor subunit; SPT5H; suppressor of Ty 5; suppressor of Ty 5 homolog; suppressor of Ty 5 homolog (S. cerevisiae); Supt5; Supt5h; supt5h protein; Tat-cotransactivator 1 protein; Tat-CT1; Tat-CT1 protein; Transcription elongation factor SPT5; transcription elongation regulator FOGGY; wu:fb37g01; wu:fb95e05; wu:fc10f02 | |
| Rabbit | |
| Affinity Chromatography | |
| RUO | |
| 20924, 308472, 6829 | |
| -20°C, Avoid Freeze/Thaw Cycles | |
| Liquid |
Berichtigung von Produktinhalten
Bitte geben Sie uns Ihr Feedback zu den Produktinhalten, indem Sie das folgende Formular ausfüllen.
Name des Produkts
Haben Sie Verbesserungsvorschläge?Übermitteln Sie eine inhaltliche Korrektur