missing translation for 'onlineSavingsMsg'
Learn More

SQSTM1 Mouse anti-Human, Clone: OTI4G9, lyophilized, TrueMAB™

Product Code. 17612071
Encompass_Preferred
Change view
Click to view available options
Quantity:
100 μg
Unit Size:
100µg
1 product options available for selection
Product selection table with 1 available options. Use arrow keys to navigate and Enter or Space to select.
Product Code. Quantity unitSize
17612071 100 μg 100µg
Use arrow keys to navigate between rows. Press Enter or Space to select a product option. 1 options available.
1 options
This item is not returnable. View return policy
Product Code. 17612071 Supplier Origene Technologies Supplier No. CF502132

Please to purchase this item. Need a web account? Register with us today!

This item is not returnable. View return policy

Mouse Monoclonal Antibody

Reconstitute with PBS (pH 7.3) and recommend to perform another round of desalting process using Product No. 7KMWCO

This gene encodes a multifunctional protein that binds ubiquitin and regulates activation of the nuclear factor kappa-B signaling pathway. The protein functions as a scaffolding/adaptor protein in concert with TNF receptor-associated factor 6 to mediate activation of NF-kB in response to upstream signals. Alternatively spliced transcript variants encoding either the same or different isoforms have been identified for this gene. Mutations in this gene result in sporadic and familial Paget disease of bone.

Specifications

Antigen SQSTM1
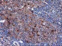
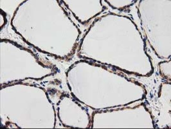
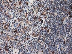
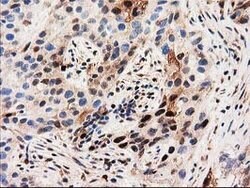
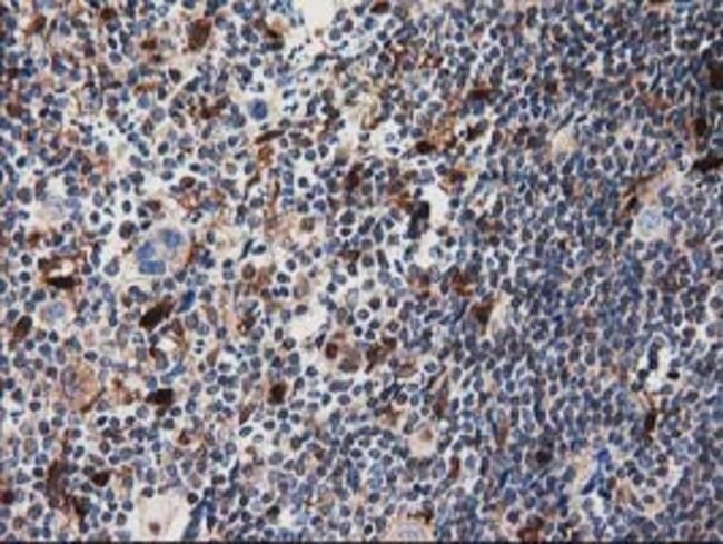
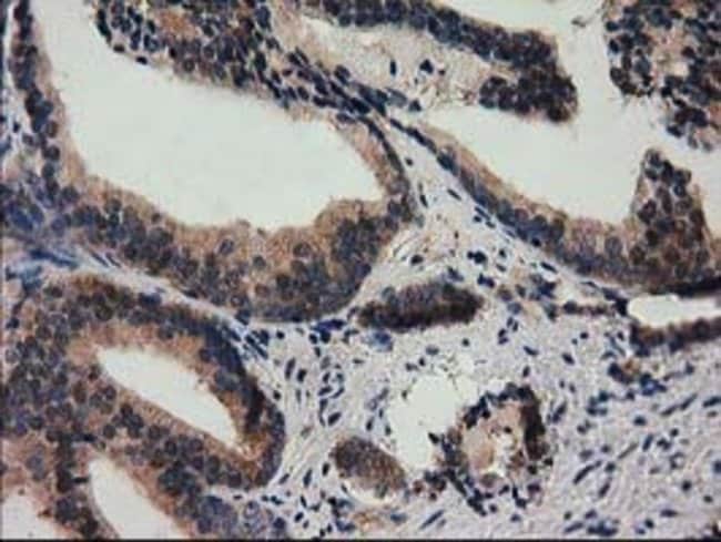
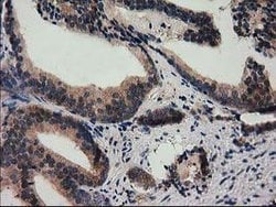
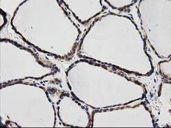
Applications Flow Cytometry, Immunohistochemistry (Paraffin), Western Blot
Classification Monoclonal
Clone OTI4G9
Conjugate Unconjugated
Formulation PBS with 8% trehalose and no preservative; pH 7.3
Gene SQSTM1
Gene Accession No. Q13501
Gene Alias A170, DMRV, FTDALS3, NADGP, OSIL, PDB3, ZIP3, p60, p62, p62B
Gene Symbols SQSTM1
Host Species Mouse
Immunogen Full length human recombit protein of human SQSTM1 produced in HEK293T cell.
Purification Method Affinity Chromatography
Quantity 100 μg
Regulatory Status RUO
Primary or Secondary Primary
Gene ID (Entrez) 8878
Target Species Human
Content And Storage -20° C, Avoid Freeze/Thaw Cycles
Product Type Antibody
Form Lyophilized
Isotype IgG1
Show More Show Less
Product Title
Select an issue

By clicking Submit, you acknowledge that you may be contacted by Fisher Scientific in regards to the feedback you have provided in this form. We will not share your information for any other purposes. All contact information provided shall also be maintained in accordance with our Privacy Policy.