missing translation for 'onlineSavingsMsg'
Learn More
Learn More
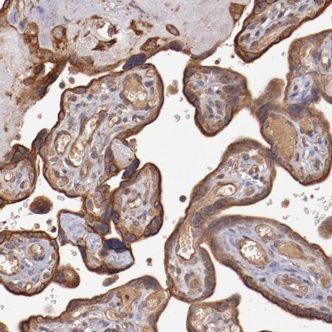
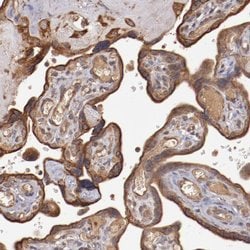
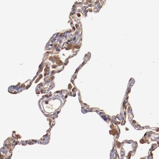
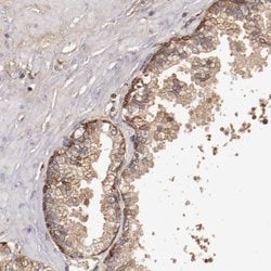
Invitrogen™ SRRD Polyclonal Antibody

Rabbit Polyclonal Antibody
Brand: Invitrogen™ PA551782
This item is not returnable.
View return policy
Description
Immunogen sequence: AEKDLFISDF WSSALETINR CLTKHLEQLK APVGTLSDIF GNLHLDSLPE ESDVATDSIP REILVTGTCH LKCVCYGIGN FATCIVARNQ LTFLLLLLEK CQIPRSHCWV YDPLFSQLEI EVLNTLGVTV LSENEEGKRS I Highest antigen sequence identity to the following orthologs: Mouse - 62%, Rat - 62%.
SRRD may be involved in a circadian clock input pathway.
Specifications
| SRRD | |
| Polyclonal | |
| Unconjugated | |
| SRRD | |
| HC/HCC; hepatocellular carcinoma complicating hemochromatosis; LOW QUALITY PROTEIN: SRR1-like protein; SRR1 domain containing; SRR1 domain-containing protein; SRR1L; SRR1-like protein; SRRD | |
| Rabbit | |
| Antigen affinity chromatography | |
| RUO | |
| 402055 | |
| Store at 4°C short term. For long term storage, store at -20°C, avoiding freeze/thaw cycles. | |
| Liquid |
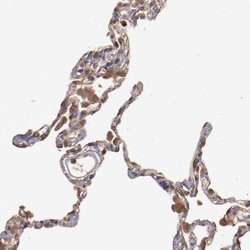
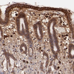
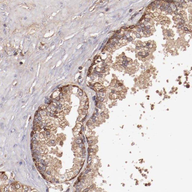
| Immunohistochemistry (Paraffin), Immunocytochemistry | |
| 0.1 mg/mL | |
| PBS with 40% glycerol and 0.02% sodium azide; pH 7.2 | |
| Q9UH36 | |
| SRRD | |
| Recombinant protein corresponding to Human SRRD. Recombinant protein control fragment (Product #RP-91494). | |
| 100 μL | |
| Primary | |
| Human | |
| Antibody | |
| IgG |
Product Content Correction
Your input is important to us. Please complete this form to provide feedback related to the content on this product.
Product Title
Spot an opportunity for improvement?Share a Content Correction