missing translation for 'onlineSavingsMsg'
Learn More
Learn More
Invitrogen™ STAMBP Polyclonal Antibody

Rabbit Polyclonal Antibody
Brand: Invitrogen™ PA577119
This item is not returnable.
View return policy
Description
The antibody was affinity-purified from rabbit antiserum by affinity-chromatography using epitope-specific immunogen and the purity is > 95% (by SDS-PAGE).
Cytokine-mediated signal transduction in the JAK-STAT cascade requires the involvement of adaptor molecules. One such signal-transducing adaptor molecule contains an SH3 domain that is required for induction of MYC and cell growth. The protein encoded by this gene binds to the SH3 domain of the signal-transducing adaptor molecule, and plays a critical role in cytokine-mediated signaling for MYC induction and cell cycle progression. Multiple alternatively spliced transcript variants encoding the same protein isoform have been found for this gene.
Specifications
| STAMBP | |
| Polyclonal | |
| Unconjugated | |
| Stambp | |
| 5330424L14Rik; 5730422L11Rik; AMSH; associated molecule with the SH3 domain of STAM; AW107289; Endosome-associated ubiquitin isopeptidase; MGC126516; MGC126518; MICCAP; mKIAA4198; Stam binding protein; STAM-binding protein; Stambp; testicular secretory protein Li 54 | |
| Rabbit | |
| Antigen affinity chromatography | |
| RUO | |
| 10617, 171565, 70527 | |
| Store at 4°C short term. For long term storage, store at -20°C, avoiding freeze/thaw cycles. | |
| Liquid |
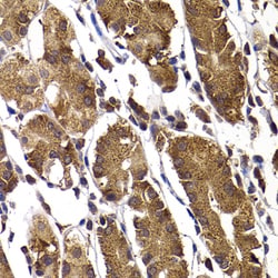
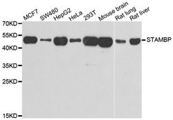
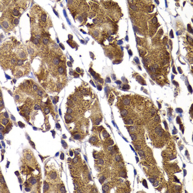
| Immunohistochemistry (Paraffin), Immunoprecipitation, Western Blot, Immunocytochemistry | |
| 1 mg/mL | |
| PBS with 50% glycerol and 0.02% sodium azide; pH 7.2 | |
| O95630, Q8R424, Q9CQ26 | |
| Stambp | |
| Recombinant full length Human STAMBP. | |
| 100 μL | |
| Primary | |
| Human, Mouse, Rat | |
| Antibody | |
| IgG |
Product Content Correction
Your input is important to us. Please complete this form to provide feedback related to the content on this product.
Product Title
Spot an opportunity for improvement?Share a Content Correction