missing translation for 'onlineSavingsMsg'
Learn More

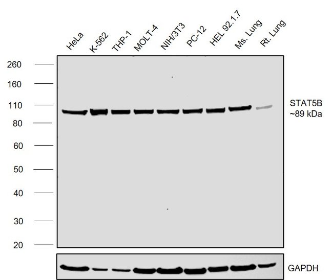
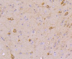
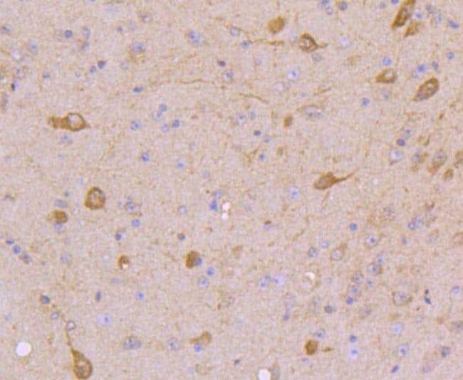
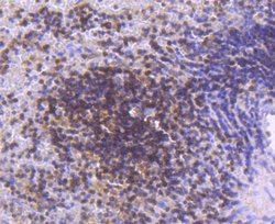
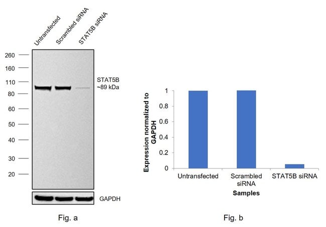
Invitrogen™ STAT5 alpha/beta Recombinant Rabbit Monoclonal Antibody (JJ08-78)

Product Code. 16325864
Change view
Click to view available options
Quantity:
100 μL
Unit Size:
100µL
1 product options available for selection
Product selection table with 1 available options. Use arrow keys to navigate and Enter or Space to select.
Product Code. Quantity unitSize
16325864 100 μL 100µL
Use arrow keys to navigate between rows. Press Enter or Space to select a product option. 1 options available.
1 options
This item is not returnable. View return policy
Product Code. 16325864 Supplier Invitrogen™ Supplier No. MA532452

Please to purchase this item. Need a web account? Register with us today!

This item is not returnable. View return policy

Rabbit Recombinant Monoclonal Antibody

Recombinant rabbit monoclonal antibodies are produced using in vitro expression systems. The expression systems are developed by cloning in the specific antibody DNA sequences from immunoreactive rabbits. Then, individual clones are screened to select the best candidates for production. The advantages of using recombinant rabbit monoclonal antibodies include: better specificity and sensitivity, lot-to-lot consistency, animal origin-free formulations, and broader immunoreactivity to diverse targets due to larger rabbit immune repertoire.

The protein encoded by this gene is a member of the STAT family of transcription factors. In response to cytokines and growth factors, STAT family members are phosphorylated by the receptor-associated kinases, and then form homo- or heterodimers that translocate to the cell nucleus where they act as transcription activators. This protein is activated by, and mediates the responses of, many cell ligands, such as IL-2, IL-3, IL-7, GM-CSF, erythropoietin, thrombopoietin, and different growth hormones. Activation of this protein in myeloma and lymphoma associated with a TEL/JAK2 gene fusion is independent of cell stimulus and has been shown to be essential for the tumorigenesis. The mouse counterpart of this gene is found to induce the expression of BCL2L1/ BCL-X(L), which suggests the antiapoptotic function of this gene in cells.
TRUSTED_SUSTAINABILITY

Specifications

Antigen STAT5 alpha/beta
Applications Flow Cytometry, Immunohistochemistry (Paraffin), Western Blot, Immunocytochemistry, Western Blot
Classification Recombinant Monoclonal
Clone JJ08-78
Concentration 1 mg/mL
Conjugate Unconjugated
Formulation TBS with 0.05% BSA, 40% Glycerol and 0.05% sodium azide; pH 7.4
Gene STAT5A
Gene Accession No. P42229, P42230, P42232, P51692, P52632, Q62771
Gene Alias AA959963; Mammary gland factor; mammary gland factor STAT5A; mammary gland factor STAT5B; mammary gland factor; transcription factor; MGF; Mpf; signal transducer and activator of transcription 5; Signal transducer and activator of transcription 5a; Signal transducer and activator of transcription 5B; STA5B; STAT; STAT5; Stat5a; Stat5b; transcription factor STAT5B
Gene Symbols STAT5A, STAT5B
Host Species Rabbit
Immunogen Recombinant protein within mouse Stat5b aa 585-773.
Purification Method Protein A
Quantity 100 μL
Regulatory Status RUO
Primary or Secondary Primary
Gene ID (Entrez) 20850, 20851, 24918, 25126, 6776, 6777
Target Species Human, Mouse, Rat
Content And Storage Store at 4°C short term. For long term storage, store at -20°C, avoiding freeze/thaw cycles.
Product Type Antibody
Form Liquid
Isotype IgG
Show More Show Less
Product Title
Select an issue

By clicking Submit, you acknowledge that you may be contacted by Fisher Scientific in regards to the feedback you have provided in this form. We will not share your information for any other purposes. All contact information provided shall also be maintained in accordance with our Privacy Policy.