missing translation for 'onlineSavingsMsg'
Learn More
Learn More
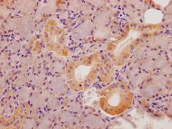
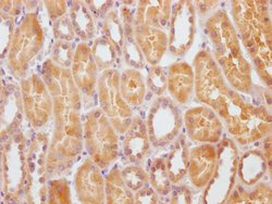
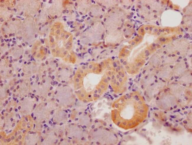
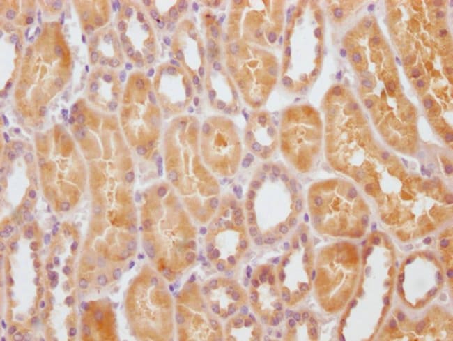
Invitrogen™ STATH Polyclonal Antibody

Rabbit Polyclonal Antibody
Brand: Invitrogen™ PA5121471
This item is not returnable.
View return policy
Description
Antibody tested in Indirect ELISA.
STATH is a salivary protein that stabilizes saliva supersaturated with calcium salts by inhibiting the precipitation of calcium phosphate salts. It also modulates hydroxyapatite crystal formation on the tooth surface.
Specifications
| STATH | |
| Polyclonal | |
| Unconjugated | |
| STATH | |
| STATH; Statherin; STR | |
| Rabbit | |
| Protein G | |
| RUO | |
| 6779 | |
| -20°C or -80°C if preferred | |
| Liquid |
| ELISA, Immunohistochemistry (Paraffin) | |
| 2.09 mg/mL | |
| PBS with 50% glycerol and 0.03% ProClin 300; pH 7.4 | |
| P02808 | |
| STATH | |
| Recombinant Human Statherin protein (20-62aa). | |
| 100 μL | |
| Primary | |
| Human | |
| Antibody | |
| IgG |
Product Content Correction
Your input is important to us. Please complete this form to provide feedback related to the content on this product.
Product Title
Spot an opportunity for improvement?Share a Content Correction