missing translation for 'onlineSavingsMsg'
Learn More

SUZ12 Antibody (3D10) - BSA Free, Novus Biologicals™

Mouse Monoclonal Antibody

Brand:  Novus Biologicals NBP1-51687-0.025ml

Product Code. 18582284

  • € 218.00 / 25µL

Please to purchase this item. Need a web account? Register with us today!

This item is not returnable. View return policy

Description

Description

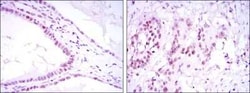
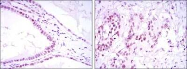
SUZ12 Monoclonal antibody specifically detects SUZ12 in Human samples. It is validated for Western Blot, ELISA, Immunohistochemistry, Immunohistochemistry (Paraffin)
TRUSTED_SUSTAINABILITY
Specifications

Specifications

SUZ12
Monoclonal
Unconjugated
Ascites
Mouse
Unpurified
RUO
Primary
Human
Purified
Western Blot, ELISA, Immunohistochemistry, Immunohistochemistry (Paraffin)
3D10
Western Blot 1:500-1:2000, ELISA 1:10000, Immunohistochemistry 1:10-1:500, Immunohistochemistry-Paraffin 1:200-1:1000
ChET 9 protein, CHET9polycomb protein SUZ12, Chromatin precipitated E2F target 9 protein, JJAZ1Joined to JAZF1 protein, KIAA0160Suppressor of zeste 12 protein homolog, suppressor of zeste 12 homolog (Drosophila)
Purified recombinant fragment of human SUZ12 expressed in E. Coli.
0.025 mL
Chromatin Modifiers
23512
Store at 4°C short term. Aliquot and store at -20°C long term. Avoid freeze-thaw cycles.
IgG1
Product Suggestions

Product Suggestions

Videos
SDS
Documents

Documents

Certificates
Promotions

Promotions

Product Content Correction

Your input is important to us. Please complete this form to provide feedback related to the content on this product.

Product Title

By clicking Submit, you acknowledge that you may be contacted by Fisher Scientific in regards to the feedback you have provided in this form. We will not share your information for any other purposes. All contact information provided shall also be maintained in accordance with our Privacy Policy.

Thank You! Your feedback has been submitted. Fisher Scientific is always working to improve our content for you. We appreciate your feedback.