missing translation for 'onlineSavingsMsg'
Learn More
Learn More
Invitrogen™ TAF5L Polyclonal Antibody

Description
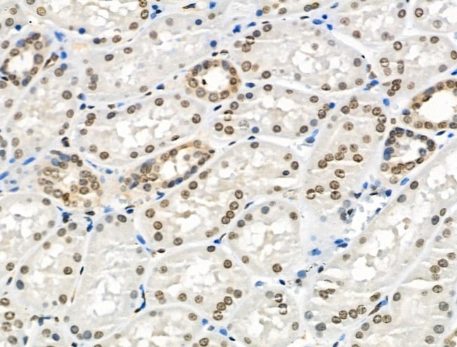
Antibody detects endogenous levels of total TAF5L.
TAF5L (TAF5-like RNA polymerase II p300/CBP-associated factor-associated factor 65 kDa subunit 5L), also known as PAF65B, is a 589 amino acid protein that localizes to the nucleus and contains six WD repeats. Existing as a component of the PCAF histone acetylase complex, TAF5L interacts with a number of TAFs and, via this interaction, plays a role in histone acetylation and transcription initiation. Defects in the gene encoding TAF5L, which is expressed as multiple alternatively spliced isoforms, are associated with the pathogenesis of type I diabetes.
Specifications
Specifications
| Antigen | TAF5L |
| Applications | Immunohistochemistry (Paraffin), Western Blot, Immunocytochemistry |
| Classification | Polyclonal |
| Concentration | 1 mg/mL |
| Conjugate | Unconjugated |
| Formulation | PBS with 50% glycerol and 0.02% sodium azide; pH 7.4 |
| Gene | Taf5l |
| Gene Accession No. | O75529, Q91WQ5 |
| Gene Alias | 1110005N04Rik; AI849020; Paf65b; PAF65-beta; PCAF associated factor 65 beta; PCAF-associated factor 65 beta; TAF5L; TAF5-like RNA polymerase II p300/CBP-associated factor-associated factor 65 kDa subunit 5L; TAF5-like RNA polymerase II, p300/CBP-associated factor (PCAF)-associated factor; TAF5-like RNA polymerase II, p300/CBP-associated factor (PCAF)-associated factor, 65kDa; TATA box binding protein associated factor 5 like; TATA-box binding protein associated factor 5 like |
| Gene Symbols | Taf5l |
| Show More |
Product Title
By clicking Submit, you acknowledge that you may be contacted by Fisher Scientific in regards to the feedback you have provided in this form. We will not share your information for any other purposes. All contact information provided shall also be maintained in accordance with our Privacy Policy.
Spot an opportunity for improvement?