missing translation for 'onlineSavingsMsg'
Learn More

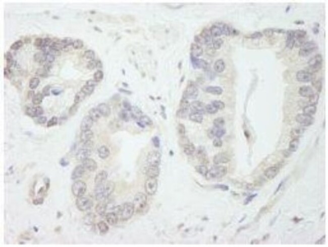
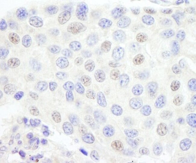
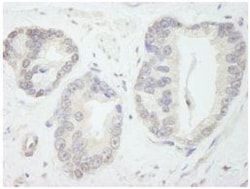
TFIIIC Antibody, Novus Biologicals™

Rabbit Polyclonal Antibody

Brand:  Novus Biologicals NB100-60656

Product Code. 18055675

  • € 575.00 / 100µL

Please to purchase this item. Need a web account? Register with us today!

This item is not returnable. View return policy

Description

Description

TFIIIC Polyclonal specifically detects TFIIIC in Human samples. It is validated for Immunohistochemistry, Immunoprecipitation, Immunohistochemistry-Paraffin.
TRUSTED_SUSTAINABILITY
Specifications

Specifications

TFIIIC
Polyclonal
Unconjugated
Tris-Citrate/Phosphate (pH 7.0 - 8.0) with 0.09% Sodium Azide
general transcription factor 3C polypeptide 1, general transcription factor IIIC, polypeptide 1 (alpha subunit), general transcription factor IIIC, polypeptide 1 (alpha subunit, 220kD ), general transcription factor IIIC, polypeptide 1, alpha 220kDa, TF3C-alpha, TFIIIC, TFIIIC 220 kDa subunit, TFIIIC box B-binding subunit, TFIIIC220DKFZp686A111, TFIIICalpha, Transcription factor IIIC 220 kDa subunit, Transcription factor IIIC subunit alpha
Rabbit
Affinity Purified
RUO
2975
Store at 4C. Do not freeze.
Immunohistochemistry, Immunoprecipitation, Immunohistochemistry (Paraffin)
1.0 mg/mL
Immunohistochemistry 1:500- 1:2000, Immunoprecipitation 2-5 ug/mg lysate, Immunohistochemistry-Paraffin 1:100-1:500
NP_001511.2
GTF3C1
The immunogen recognized by this antibody maps to a region between residue 1475 and 1525 of human general transcription factor IIIC, polypeptide 1 (general transcription factor IIIC, 220kDa subunit) using the numbering given in entry NP_001511.2 (GeneID 2
100 μL
Primary
Human
IgG
Product Suggestions

Product Suggestions

Videos
SDS
Documents

Documents

Certificates
Promotions

Promotions

Product Content Correction

Your input is important to us. Please complete this form to provide feedback related to the content on this product.

Product Title

By clicking Submit, you acknowledge that you may be contacted by Fisher Scientific in regards to the feedback you have provided in this form. We will not share your information for any other purposes. All contact information provided shall also be maintained in accordance with our Privacy Policy.

Thank You! Your feedback has been submitted. Fisher Scientific is always working to improve our content for you. We appreciate your feedback.

For Research Use Only