missing translation for 'onlineSavingsMsg'
Learn More
Learn More
Invitrogen™ Thymidine Phosphorylase Polyclonal Antibody

Rabbit Polyclonal Antibody
Brand: Invitrogen™ PA5116481
This item is not returnable.
View return policy
Description
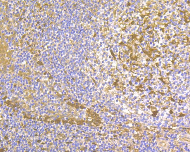
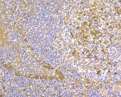
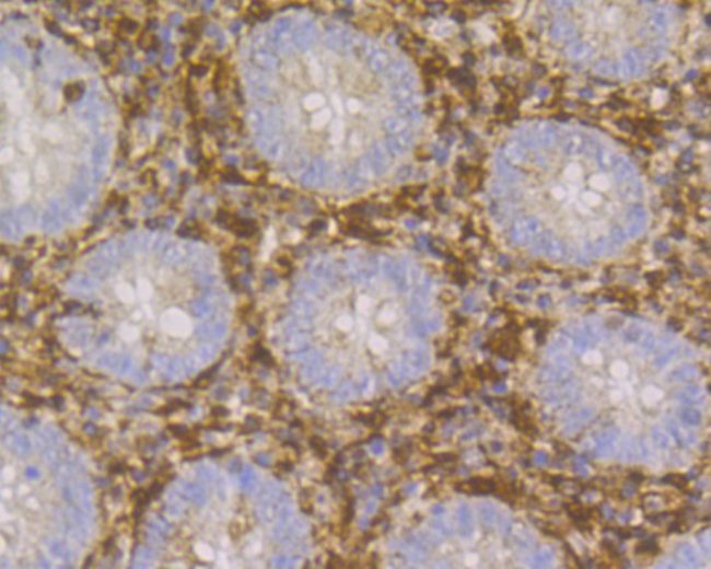
Positive controls: SKBR-3 cell lysates, human appendix tissue, human tonsil tissue, human liver cancer tissue, Siha.
A platelet-derived endothelial growth factor (PD-ECGF), same as thymidine phosphorylase (TP) or gliostatin. In the presence of inorganic orthophosphate, it catalyses the reversible phospholytic cleavage of thymidine and deoxyuridine to their corresponding bases and 2-deoxyribose-1-phosphate. It is both chemotactic and mitogenic for endothelial cells and a non-heparin binding angiogenic factor present in platelets. It is also involved in transformation of fluoropyrimidines, cytotoxic agents used in the treatment of a variety of malignancies, into active cytotoxic metabolites.
Specifications
| Thymidine Phosphorylase | |
| Polyclonal | |
| Unconjugated | |
| TYMP | |
| 2900072D10Rik; ECGF; Ecgf1; endothelial cell growth factor 1 (platelet-derived); gliostatin; hPD-ECGF; MEDPS1; MNGIE; MTDPS1; OTTHUMP00000196767; OTTHUMP00000196770; PD TP; PDECGF; PD-ECGF; Pdgfec; platelet derived growth factor, endothelial cell; Platelet-derived endothelial cell growth factor; TdRPase; thymidine phosphorylase; TP; TYMP | |
| Rabbit | |
| Antigen Affinity Chromatography | |
| RUO | |
| 1890 | |
| Store at 4°C short term. For long term storage, store at -20°C, avoiding freeze/thaw cycles. | |
| Liquid |
| Flow Cytometry, Immunohistochemistry (Paraffin), Western Blot | |
| 1 mg/mL | |
| PBS with 0.2% BSA, 50% glycerol and 0.05% sodium azide; pH 7.4 | |
| P19971 | |
| TYMP | |
| Recombinant protein within Human Thymidine Phosphorylase aa 19-239. | |
| 100 μL | |
| Primary | |
| Human | |
| Antibody | |
| IgG |
Product Content Correction
Your input is important to us. Please complete this form to provide feedback related to the content on this product.
Product Title
Spot an opportunity for improvement?Share a Content Correction