missing translation for 'onlineSavingsMsg'
Learn More

TIGD1 Mouse anti-Human, Clone: OTI4G9, lyophilized, TrueMAB™

Mouse Monoclonal Antibody

Brand:  Origene Technologies CF800156

Encompass_Preferred

Product Code. 17695891

  • € 726.00 / 100µg

Please to purchase this item. Need a web account? Register with us today!

This item is not returnable. View return policy

Description

Description

Reconstitute with PBS (pH 7.3) and recommend to perform another round of desalting process using Product No. 7KMWCO

The protein encoded by this gene belongs to the tigger subfamily of the pogo superfamily of DNA-mediated transposons in humans. These proteins are related to DNA transposons found in fungi and nematodes, and more distantly to the Tc1 and mariner transposases. They are also very similar to the major mammalian centromere protein B. The exact function of this gene is not known.
Specifications

Specifications

TIGD1
Monoclonal
Unconjugated
TIGD1
EEYORE
Mouse
Affinity Chromatography
RUO
200765
-20° C, Avoid Freeze/Thaw Cycles
Lyophilized
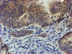
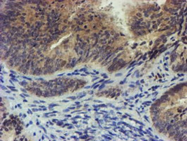
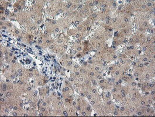
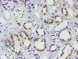
Immunohistochemistry (Paraffin), Western Blot
OTI4G9
PBS with 8% trehalose and no preservative; pH 7.3
Q96MW7
TIGD1
Human recombit protein fragment corresponding to amino acids 1-267 of human TIGD1 produced in E.coli.
100 μg
Primary
Human
Antibody
IgG1
Product Suggestions

Product Suggestions

Videos
SDS
Documents

Documents

Certificates
Promotions

Promotions

Product Content Correction

The Fisher Scientific Encompass Program offers items which are not part of our distribution portfolio. These products typically do not have pictures or detailed descriptions. However, we are committed to improving your shopping experience. Please use the form below to provide feedback related to the content on this product.

Product Title

By clicking Submit, you acknowledge that you may be contacted by Fisher Scientific in regards to the feedback you have provided in this form. We will not share your information for any other purposes. All contact information provided shall also be maintained in accordance with our Privacy Policy.

Thank You! Your feedback has been submitted. Fisher Scientific is always working to improve our content for you. We appreciate your feedback.