missing translation for 'onlineSavingsMsg'
Learn More

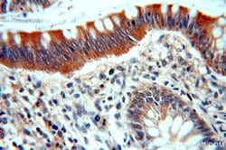
TINAG Rabbit anti-Human, Mouse, Polyclonal, Proteintech

Rabbit Polyclonal Antibody

Brand:  Proteintech 19747-1-AP-150UL

 View more versions of this product

Product Code. 16809234

  • € 410.00 / 150µL

Please to purchase this item. Need a web account? Register with us today!

This item is not returnable. View return policy

Description

Description

The antibody is specific to TINAG.

Mediates adhesion of proximal tubule epithelial cells via integrins alpha3-beta1 and alphaV-beta3. This is a non catalytic peptidase C1 family protein.
Specifications

Specifications

TINAG
Polyclonal
Unconjugated
TINAG
TIN AG, TINAG
Rabbit
Antigen Affinity Chromatography
RUO
26944, 27283
-20°C
Liquid
Immunohistochemistry (Paraffin), Western Blot
0.49 mg/mL
PBS with 50% glycerol and 0.02% sodium azide; pH 7.3
Q9UJW2
Tinag
Peptide
150 μL
Primary
Human, Mouse
Antibody
IgG
Product Suggestions

Product Suggestions

Videos
SDS
Documents

Documents

Certificates
Promotions

Promotions

Product Content Correction

Your input is important to us. Please complete this form to provide feedback related to the content on this product.

Product Title

By clicking Submit, you acknowledge that you may be contacted by Fisher Scientific in regards to the feedback you have provided in this form. We will not share your information for any other purposes. All contact information provided shall also be maintained in accordance with our Privacy Policy.

Thank You! Your feedback has been submitted. Fisher Scientific is always working to improve our content for you. We appreciate your feedback.