missing translation for 'onlineSavingsMsg'
Learn More

Invitrogen™ TOP3B Polyclonal Antibody

Rabbit Polyclonal Antibody

Brand:  Invitrogen™ PA536144

Product Code. 15547541

  • € 514.00 / 100µL

Please to purchase this item. Need a web account? Register with us today!

This item is not returnable. View return policy

Description

Description

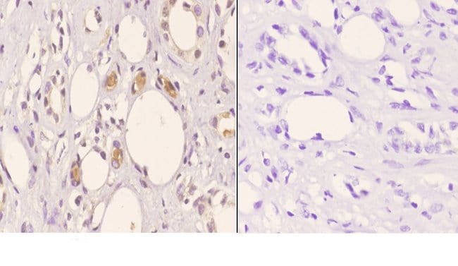
This antibody detects endogenous protein at a molecular weight of 96 kDa. Purity is >95% by SDS-PAGE.

DNA topoisomerases are nuclear enzymes that regulate the topological structure of DNA by transiently breaking and rejoining DNA strands. Although DNA topoisomerase I and DNA topoisomerase II relax both positive and negative supercoils, DNA topoisomerase III relaxes only negative supercoils. DNA topoisomerase III alpha exists as a long and a short isoform, which are produced by alternative splicing. DNA topoisomerase III alpha, which localizes to the nucleolus, is constitutively expressed and remains at high levels throughout the cell cycle in HL-60 cells. DNA topoisomerase III beta exists as three isoforms, namely beta1, beta2 and beta3, also produced by alternative splicing. DNA topoisomerase III beta1 is expressed in testes, heart and skeletal muscle, whereas beta2 is expressed in thymus, kidney and pancreas.
TRUSTED_SUSTAINABILITY
Specifications

Specifications

TOP3B
Polyclonal
Unconjugated
TOP3B
DNA topoisomerase 3-beta-1; DNA topoisomerase III beta-1; Top3b; Top3b1; Topo III beta; topoisomerase (DNA) III beta; topoisomerase III beta
Rabbit
Antigen Affinity Chromatography
RUO
21976, 287930, 8940
Store at 4°C short term. For long term storage, store at -20°C, avoiding freeze/thaw cycles.
Liquid
Immunohistochemistry (Paraffin), Western Blot
1 mg/mL
PBS with 0.05% sodium azide; pH 7.2
O95985, Q9Z321
TOP3B
Synthetic peptide corresponding to amino acids 51-100 of human Topo III beta-1.
100 μL
Primary
Human, Mouse, Rat
Antibody
IgG
Product Suggestions

Product Suggestions

Videos
SDS
Documents

Documents

Certificates
Promotions

Promotions

Product Content Correction

Your input is important to us. Please complete this form to provide feedback related to the content on this product.

Product Title

By clicking Submit, you acknowledge that you may be contacted by Fisher Scientific in regards to the feedback you have provided in this form. We will not share your information for any other purposes. All contact information provided shall also be maintained in accordance with our Privacy Policy.

Thank You! Your feedback has been submitted. Fisher Scientific is always working to improve our content for you. We appreciate your feedback.