missing translation for 'onlineSavingsMsg'
Learn More
Learn More
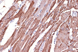
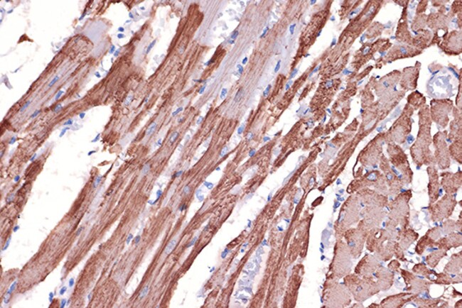
Invitrogen™ TPM1 Recombinant Rabbit Monoclonal Antibody (5Q2H6)

Description
Immunogen sequence: LSEGKCAELE EELKTVTNNL KSLEAQAEKY SQKEDRYEEE IKVLSDKLKE AETRAEFAER SVTKLEKSID DLEDELYAQK LKYKAISEEL DHALNDMTSI.
Tropomyosin is a dimeric coiled-coil protein that binds along the length of actin filaments. It is associated with the thin filaments of muscle cells and the microfilaments of nonmuscle cells. Chicken embryo fibroblasts (CEF) contain five isoforms of tropomyosin (a, b, 1, 2, and 3), identified as such by their different apparent molecular masses after separation by SDS-PAGE, but similar biochemical properties, such as resistance to heat and organic solvents, the ability to bind to F-actin filaments, and the lack of proline and tryptophan.
Specifications
Specifications
| Antigen | TPM1 |
| Applications | ELISA, Immunohistochemistry (Paraffin), Immunoprecipitation, Western Blot |
| Classification | Recombinant Monoclonal |
| Clone | 5Q2H6 |
| Concentration | 0.3 mg/mL |
| Conjugate | Unconjugated |
| Formulation | PBS with 0.05% BSA, 50% glycerol and 0.02% sodium azide; pH 7.3 |
| Gene | TPM1 |
| Gene Accession No. | P04692, P58771 |
| Gene Alias | AA986836; AI854628; alpha tropomyosin; alpha tropomyosin of brain; alpha tropomyosin of fibroblasts F2; alpha-fTM; Alpha-tm; alpha-Tm-1; alpha-Tm-2 isoform; alpha-tropomyosin; alpha-tropomyosin (partial); alpha-tropomyosin 1; alpha-tropomyosin 2; alpha-tropomyosin of skeletal fast muscle; C15orf13; cardiac alpha tropomyosin; cardiomyopathy, hypertrophic 3; CMD1Y; CMH3; epididymis secretory protein Li 265; HEL-S-265; hepatoma alpha tropomyosin; HTM-alpha; LVNC9; sarcomeric tropomyosin kappa; smooth muscle alpha-tropomyosin; striated muscle alpha-tropomyosin; Tm1; TM2; Tm3; Tma2; Tmpa; Tmsa; Tpm1; Tpm-1; tpm1 protein; TPM1-1; TPM1-alpha; TPMA; tropomyosin; tropomyosin (CTm4); tropomyosin (CTm7); tropomyosin 1; tropomyosin 1 (alpha); tropomyosin 1 alpha chain; tropomyosin 1, alpha; tropomyosin 1-1; tropomyosin 3 alpha; tropomyosin alpha-1 chain; Tropomyosin-1; unnamed protein product; zgc:171719; zgc:55951; zgc:77009 |
| Show More |
Product Title
By clicking Submit, you acknowledge that you may be contacted by Fisher Scientific in regards to the feedback you have provided in this form. We will not share your information for any other purposes. All contact information provided shall also be maintained in accordance with our Privacy Policy.
Spot an opportunity for improvement?