missing translation for 'onlineSavingsMsg'
Learn More
Learn More
Description
Immunogen sequence: PSGIHLNNMG PQHQQLSPSA MWPQMHLPDG RAQPGSPESS GQPKGAFGEQ FDAKNKLTCS ICLKEFKNLP ALNGHMRSHG Highest antigen sequence identity to the following orthologs: Mouse - 29%, Rat - 93%.
TREF1 encodes a zinc-finger transcriptional regulating protein which interacts with CBP/p300 to regulate the human gene CYP11A1.
Specifications
Specifications
| Antigen | TREF1 |
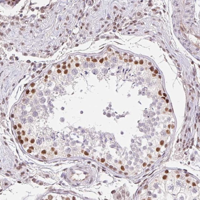
| Applications | Immunohistochemistry (Paraffin) |
| Classification | Polyclonal |
| Concentration | 0.2 mg/mL |
| Conjugate | Unconjugated |
| Formulation | PBS with 40% glycerol and 0.02% sodium azide; pH 7.2 |
| Gene | TRERF1 |
| Gene Accession No. | Q96PN7 |
| Gene Alias | 9430096I18Rik; AI429294; B830015H24; BCAR2; Breast cancer anti-estrogen resistance 2; dJ139D8.5; HSA277276; RAPA; rapa-1; rapa-2; RP1-139D8.5; transcriptional regulating factor 1; transcriptional regulating protein 132; transcriptional-regulating factor 1; Transcriptional-regulating protein 132; Trep132; Trep-132; TRERF1; Zinc finger protein rapa; zinc finger transcription factor TReP-132 |
| Gene Symbols | TRERF1 |
| Show More |
Product Title
By clicking Submit, you acknowledge that you may be contacted by Fisher Scientific in regards to the feedback you have provided in this form. We will not share your information for any other purposes. All contact information provided shall also be maintained in accordance with our Privacy Policy.
Spot an opportunity for improvement?
