missing translation for 'onlineSavingsMsg'
Learn More
Learn More
TRNAU1AP/SECP43 Rabbit anti-Human, Mouse, Rat, Polyclonal, Proteintech
Rabbit Polyclonal Antibody
Brand: Proteintech 15053-1-AP-20UL
This item is not returnable.
View return policy
Description
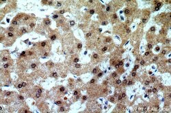
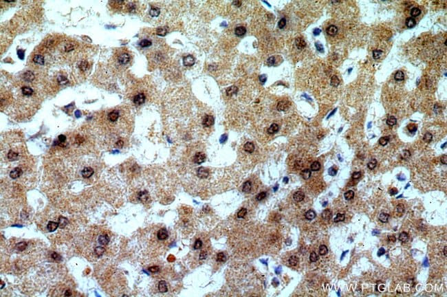
TRSPAP1 is involved in the early steps of selenocysteine biosynthesis and tRNA(Sec) charging to the later steps resulting in the cotranslational incorporation of selenocysteine into selenoproteins. It stabilizes the SECISBP2, EEFSEC and tRNA(Sec) complex. It may be involved in the methylation of tRNA(Sec) and enhances efficiency of selenoproteins synthesis.Specifications
| TRNAU1AP/SECP43 | |
| Polyclonal | |
| Unconjugated | |
| TRNAU1AP | |
| PRO1902, RP4 669K10.4, SECP43, TRNAU1AP, TRSPAP1 | |
| Rabbit | |
| Antigen Affinity Chromatography | |
| RUO | |
| 54952, 65241, 71787 | |
| -20°C | |
| Liquid |
| Immunohistochemistry (Paraffin), Western Blot | |
| 0.44 mg/mL | |
| PBS with 50% glycerol and 0.02% sodium azide; pH 7.3 | |
| Q80VC6, Q9NX07, Q9QZI7 | |
| TRNAU1AP | |
| TRNAU1AP,SECP43 Fusion Protein Ag7036 | |
| 20 μL | |
| Primary | |
| Rat, Human, Mouse | |
| Antibody | |
| IgG |
Product Content Correction
Your input is important to us. Please complete this form to provide feedback related to the content on this product.
Product Title
Spot an opportunity for improvement?Share a Content Correction