missing translation for 'onlineSavingsMsg'
Learn More

TRPM4 Mouse anti-Canine, Human, Clone: OTI10H5, liquid, TrueMAB™

Mouse Monoclonal Antibody

Brand:  Origene Technologies TA500381S

Encompass_Preferred

Product Code. 17591261

  • € 242.00 / 30µL

Please to purchase this item. Need a web account? Register with us today!

This item is not returnable. View return policy

Description

Description

Calcium-activated non selective (CAN) cation channel that mediates membrane depolarization. While it is activated by increase in intracellular Ca2+, it is impermeable to it. Mediates transport of monovalent cations (Na+, K+, Cs+, Li+), leading to depolarize the membrane. It thereby plays a central role in cadiomyocytes, neurons from entorhinal cortex, dorsal root and vomeronasal neurons, endocrine pancreas cells, kidney epithelial cells, cochlea hair cells etc. Participates in T-cell activation by modulating Ca2+ oscillations after T lymphocyte activation, which is required for NFAT-dependent IL2 production. Involved in myogenic constriction of cerebral arteries. Controls insulin secretion in pancreatic beta-cells. May also be involved in pacemaking or could cause irregular electrical activity under conditions of Ca2+ overload. Affects T-helper 1 (Th1) and T-helper 2 (Th2) cell motility and cytokine production through differential regulation of calcium signaling and NFATC1 localization. Enhances cell proliferation through up-regulation of the beta-catenin signaling pathway.
Specifications

Specifications

TRPM4
Monoclonal
Unconjugated
TRPM4
LTrpC4, PFHB1B, TRPM4B, hTRPM4
Mouse
Affinity Chromatography
RUO
484385, 54795
-20° C, Avoid Freeze/Thaw Cycles
Liquid
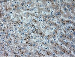
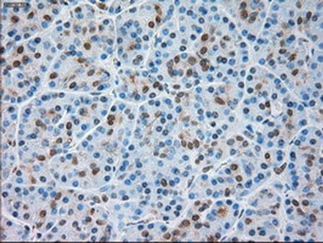
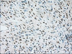
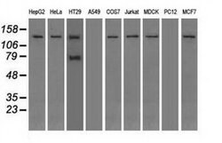
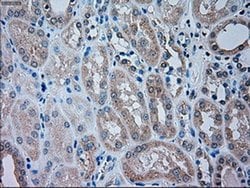
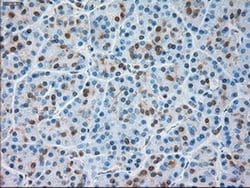
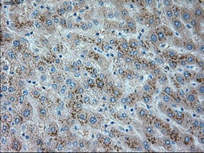
Immunohistochemistry (Paraffin), Western Blot
OTI10H5
PBS with 1% BSA, 50% glycerol and 0.02% sodium azide
Q8TD43
TRPM4
Full length human recombit protein of human TRPM4 produced in HEK293T cell.
30 μL
Primary
Canine, Human
Antibody
IgG1
Product Suggestions

Product Suggestions

Videos
SDS
Documents

Documents

Certificates
Promotions

Promotions

Product Content Correction

The Fisher Scientific Encompass Program offers items which are not part of our distribution portfolio. These products typically do not have pictures or detailed descriptions. However, we are committed to improving your shopping experience. Please use the form below to provide feedback related to the content on this product.

Product Title

By clicking Submit, you acknowledge that you may be contacted by Fisher Scientific in regards to the feedback you have provided in this form. We will not share your information for any other purposes. All contact information provided shall also be maintained in accordance with our Privacy Policy.

Thank You! Your feedback has been submitted. Fisher Scientific is always working to improve our content for you. We appreciate your feedback.