missing translation for 'onlineSavingsMsg'
Learn More

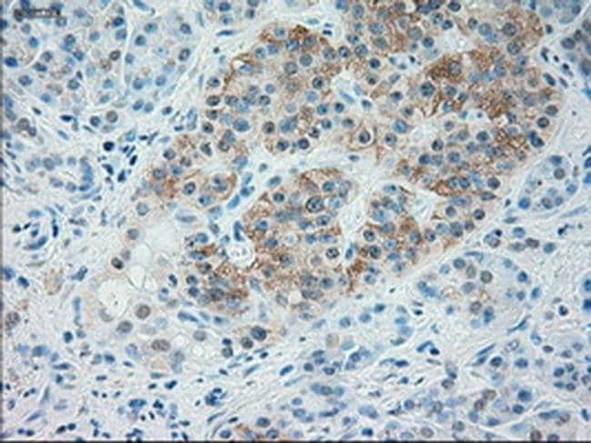
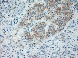
TRPM4 Mouse anti-Human, Clone: OTI14F1, liquid, TrueMAB™

Product Code. 17551251
Encompass_Preferred
Change view
Click to view available options
Quantity:
100 μL
Unit Size:
100µL
1 product options available for selection
Product selection table with 1 available options. Use arrow keys to navigate and Enter or Space to select.
Product Code. Quantity unitSize
17551251 100 μL 100µL
Use arrow keys to navigate between rows. Press Enter or Space to select a product option. 1 options available.
1 options
This item is not returnable. View return policy
Product Code. 17551251 Supplier Origene Technologies Supplier No. TA500377

Please to purchase this item. Need a web account? Register with us today!

This item is not returnable. View return policy

Mouse Monoclonal Antibody

Calcium-activated non selective (CAN) cation channel that mediates membrane depolarization. While it is activated by increase in intracellular Ca2+, it is impermeable to it. Mediates transport of monovalent cations (Na+, K+, Cs+, Li+), leading to depolarize the membrane. It thereby plays a central role in cadiomyocytes, neurons from entorhinal cortex, dorsal root and vomeronasal neurons, endocrine pancreas cells, kidney epithelial cells, cochlea hair cells etc. Participates in T-cell activation by modulating Ca2+ oscillations after T lymphocyte activation, which is required for NFAT-dependent IL2 production. Involved in myogenic constriction of cerebral arteries. Controls insulin secretion in pancreatic beta-cells. May also be involved in pacemaking or could cause irregular electrical activity under conditions of Ca2+ overload. Affects T-helper 1 (Th1) and T-helper 2 (Th2) cell motility and cytokine production through differential regulation of calcium signaling and NFATC1 localization. Enhances cell proliferation through up-regulation of the beta-catenin signaling pathway.

Specifications

Antigen TRPM4
Applications Immunohistochemistry (Paraffin), Western Blot
Classification Monoclonal
Clone OTI14F1
Concentration 0.8 mg/mL
Conjugate Unconjugated
Formulation PBS with 1% BSA, 50% glycerol and 0.02% sodium azide
Gene TRPM4
Gene Accession No. Q8TD43
Gene Alias LTrpC4, PFHB1B, TRPM4B, hTRPM4
Gene Symbols TRPM4
Host Species Mouse
Immunogen Full-length protein expressed in 293T cell transfected with human TRPM4 expression vector
Purification Method Affinity Chromatography
Quantity 100 μL
Regulatory Status RUO
Primary or Secondary Primary
Gene ID (Entrez) 54795
Target Species Human
Content And Storage -20° C, Avoid Freeze/Thaw Cycles
Product Type Antibody
Form Liquid
Isotype IgG1
Show More Show Less
Product Title
Select an issue

By clicking Submit, you acknowledge that you may be contacted by Fisher Scientific in regards to the feedback you have provided in this form. We will not share your information for any other purposes. All contact information provided shall also be maintained in accordance with our Privacy Policy.