missing translation for 'onlineSavingsMsg'
Learn More
Learn More
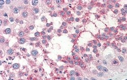
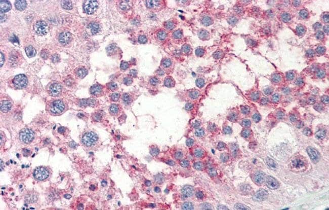
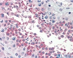
Invitrogen™ TSKS Polyclonal Antibody

Rabbit Polyclonal Antibody
Brand: Invitrogen™ PA544118
This item is not returnable.
View return policy
Description
Peptide sequence: MASVVVKTIW QSKEIHEAGD TPTGVESCSQ LVPEAPRRVT SRAKGIPKKK Sequence homology: Cow: 86%; Dog: 86%; Human: 100%; Mouse: 86%; Pig: 86%; Rabbit: 79%; Rat: 86%.
A novel putative serine/threonine kinase substrate gene (TSKS, for testis-specific kinase substrate) is likely the human homolog of the mouse testis-specific serine kinase substrate gene. TSKS exhibits high levels of expression exclusively in human testicular tissue. The expression of TSKS is downregulated in cancerous testicular tissue, in comparison to adjacent normal tissue. These observations suggest a role of TSKS in testicular physiology, most probably in the process of spermatogenesis or spermiogenesis.
Specifications
| TSKS | |
| Polyclonal | |
| Unconjugated | |
| TSKS | |
| clone 4; PPP1R161; protein phosphatase 1, regulatory subunit 161; serine/threonine kinase 22 substrate 1; STK22 substrate 1; STK22S1; testis specific serine kinase substrate; testis specific serine/threonine kinase substrate; testis-specific kinase substrate; Testis-specific serine kinase substrate; testis-specific serine/threonine kinase substrate 1; TSKS; TSKS1; TSSKS; Tssks1; Unknown (protein for MGC:134104) | |
| Rabbit | |
| Affinity Chromatography | |
| RUO | |
| 60385 | |
| -20°C, Avoid Freeze/Thaw Cycles | |
| Liquid |
| Immunohistochemistry, Western Blot | |
| 0.5 mg/mL | |
| PBS with 2% sucrose and 0.09% sodium azide | |
| Q9UJT2 | |
| TSKS | |
| Synthetic peptide directed towards the N-terminal of human TSKS (aa 1-50). | |
| 100 μL | |
| Primary | |
| Human | |
| Antibody | |
| IgG |
Product Content Correction
Your input is important to us. Please complete this form to provide feedback related to the content on this product.
Product Title
Spot an opportunity for improvement?Share a Content Correction