missing translation for 'onlineSavingsMsg'
Learn More
Learn More
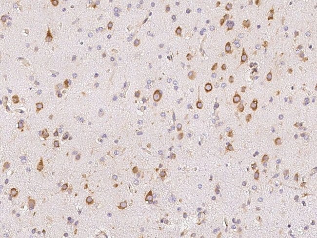
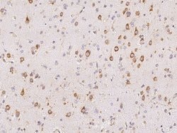
Invitrogen™ MPS1 Polyclonal Antibody

Description
This product is preservative free. It is recommended to add sodium azide to avoid contamination (final concentration 0.05%-0.1%). This antibody has specificity for Human TTK.
Ribosomes, the organelles that catalyze protein synthesis, consist of a small 40S subunit and a large 60S subunit. Together these subunits are composed of 4 RNA species and approximately 80 structurally distinct proteins. This gene encodes a ribosomal protein that is a component of the 40S subunit. The protein belongs to the S27E family of ribosomal proteins. It contains a C4-type zinc finger domain that can bind to zinc. The encoded protein has been shown to be able to bind to nucleic acid. It is located in the cytoplasm as a ribosomal component, but it has also been detected in the nucleus. Studies in rat indicate that ribosomal protein S27 is located near ribosomal protein S18 in the 40S subunit and is covalently linked to translation initiation factor eIF3. As is typical for genes encoding ribosomal proteins, there are multiple processed pseudogenes of this gene dispersed through the genome.
Specifications
Specifications
| Antigen | MPS1 |
| Applications | Immunohistochemistry (Paraffin), Immunocytochemistry |
| Classification | Polyclonal |
| Concentration | 1 mg/mL |
| Conjugate | Unconjugated |
| Formulation | PBS with no preservative |
| Gene | RPS27 |
| Gene Accession No. | P42677 |
| Gene Alias | 3200001M24Rik; 40S ribosomal protein S27; metallopanstimulin 1; Metallopan-stimulin 1; MPS1; MPS-1; RGD:621045}; ribosomal protein S27; RP11-422P24.3; rps27; rps27 {ECO:0000312; S27; S27-1; Small ribosomal subunit protein eS27 |
| Gene Symbols | RPS27 |
| Show More |
Product Title
By clicking Submit, you acknowledge that you may be contacted by Fisher Scientific in regards to the feedback you have provided in this form. We will not share your information for any other purposes. All contact information provided shall also be maintained in accordance with our Privacy Policy.
Spot an opportunity for improvement?