missing translation for 'onlineSavingsMsg'
Learn More

Invitrogen™ TXNDC12 Recombinant Rabbit Monoclonal Antibody (9J6L2)

Rabbit Recombinant Monoclonal Antibody

Brand:  Invitrogen™ MA555438

Product Code. 30131268

  • € 457.00 / 100µL

Please to purchase this item. Need a web account? Register with us today!

This item is not returnable. View return policy

Description

Description

Immunogen Sequence: METRPRLGAT CLLGFSFLLL VISSDGHNGL GKGFGDHIHW RTLEDGKKEA AASGLPLMVI IHKSWCGACK ALKPKFAEST EISELSHNFV MVNLEDEEEP.

TXNDC12 belongs to the thioredoxin superfamily. Members of this superfamily possess a thioredoxin fold with a consensus active-site sequence (CxxC) and have roles in redox regulation, defense against oxidative stress, refolding of disulfide-containing proteins, and regulation of transcription factors.
TRUSTED_SUSTAINABILITY
Specifications

Specifications

TXNDC12
Recombinant Monoclonal
2 mg/mL
PBS with 0.05% BSA, 50% glycerol and 0.02% sodium azide; pH 7.3
O95881, Q498E0, Q9CQU0
Txndc12
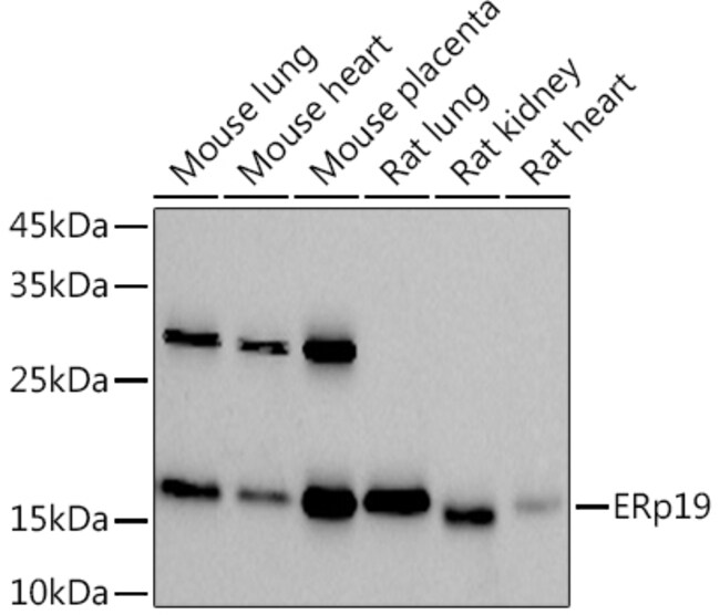
A synthetic peptide corresponding to a sequence within amino acids 1-100 of human ERp19.
100 μL
Primary
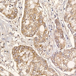
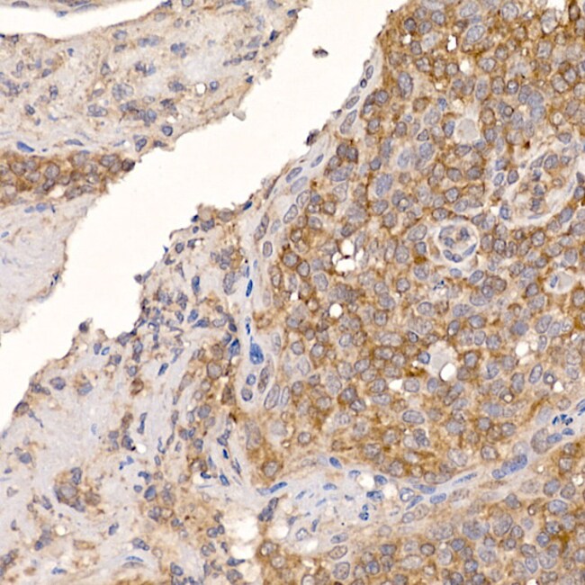
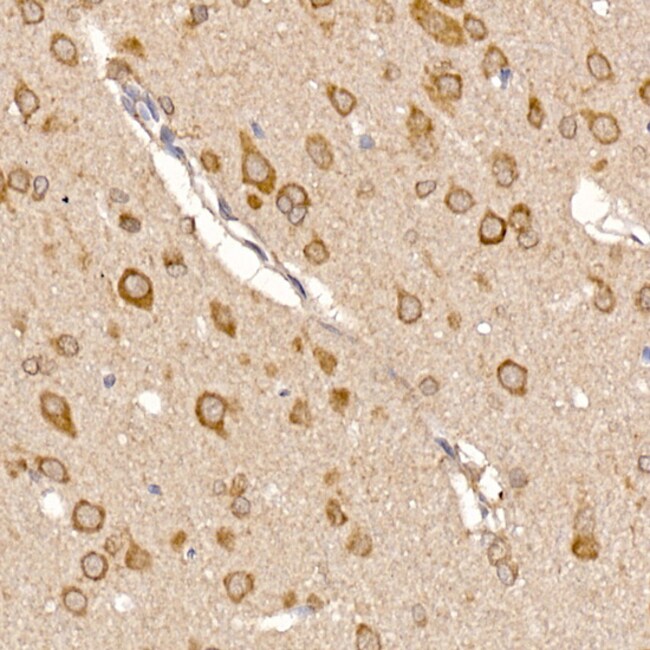
Human, Mouse, Rat
Antibody
IgG
ELISA, Immunohistochemistry (Paraffin), Western Blot
9J6L2
Unconjugated
Txndc12
0610040B21Rik; AG1; AGR1; anterior gradient homolog 1; endoplasmic reticulum protein ERp19; endoplasmic reticulum resident protein 18; Endoplasmic reticulum resident protein 19; endoplasmic reticulum thioredoxin superfamily member, 18 kDa; ER protein 18; ER protein 19; ERp16; ERP18; ERP19; hAG-1; hTLP19; ortholog of endoplasmic reticulum thioredoxin superfamily member, 18 kDa TLP19; PDIA16; protein disulfide isomerase family A, member 16; RGD1305960; thioredoxin domain containing 12; thioredoxin domain containing 12 (endoplasmic reticulum); thioredoxin domain-containing protein 12; Thioredoxin-like protein p19; TLP19; TXNDC12; UNQ713/PRO1376
Rabbit
Protein A
RUO
298370, 51060, 66073
-20°C, Avoid Freeze/Thaw Cycles
Liquid
Product Suggestions

Product Suggestions

Videos
SDS
Documents

Documents

Certificates
Promotions

Promotions

Product Content Correction

Your input is important to us. Please complete this form to provide feedback related to the content on this product.

Product Title

By clicking Submit, you acknowledge that you may be contacted by Fisher Scientific in regards to the feedback you have provided in this form. We will not share your information for any other purposes. All contact information provided shall also be maintained in accordance with our Privacy Policy.

Thank You! Your feedback has been submitted. Fisher Scientific is always working to improve our content for you. We appreciate your feedback.