missing translation for 'onlineSavingsMsg'
Learn More

TYRO3 Mouse anti-Human, Clone: OTI4C8, liquid, TrueMAB™

Mouse Monoclonal Antibody

Brand:  Origene Technologies TA500416

Encompass_Preferred

Product Code. 17581361

  • € 540.87 / 100µL

Please to purchase this item. Need a web account? Register with us today!

This item is not returnable. View return policy

Description

Description

TYRO3 (tyrosine-protein kinase receptor TYRO3) is a receptor tyrosine kinase that transduces signals from the extracellular matrix into the cytoplasm by binding to several ligands including TULP1 or GAS6. It regulates many physiological processes including cell survival, migration, and differentiation. Ligand binding at the cell surface induces dimerization and autophosphorylation of TYRO3 on its intracellular domain that provides docking sites for downstream signaling molecules. Following activation by a ligand, TYRO3 plays a role in various processes such as neuron protection from excitotoxic injury, platelet aggregation, and cytoskeleton reorganization.
Specifications

Specifications

TYRO3
Monoclonal
1.3 mg/mL
PBS with 1% BSA, 50% glycerol and 0.02% sodium azide
Q06418
TYRO3
Full length human recombit protein of human TYRO3 produced in HEK293T cell.
100 μL
Primary
Human
Antibody
IgG1
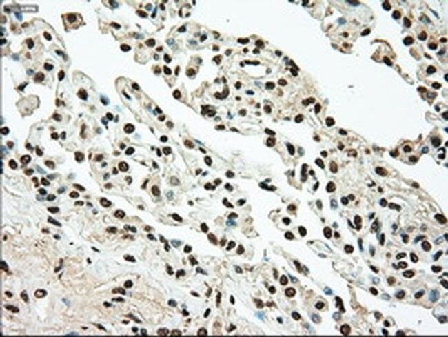
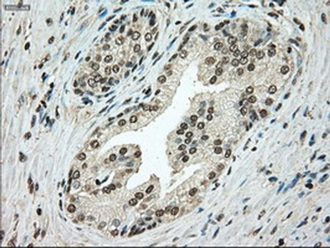
Immunohistochemistry (Paraffin), Immunoprecipitation, Western Blot
OTI4C8
Unconjugated
TYRO3
BYK, Dtk, Etk-2, RSE, Rek, Sky, Tif
Mouse
Affinity Chromatography
RUO
7301
-20° C, Avoid Freeze/Thaw Cycles
Liquid
Product Suggestions

Product Suggestions

Videos
SDS
Documents

Documents

Certificates
Promotions

Promotions

Product Content Correction

The Fisher Scientific Encompass Program offers items which are not part of our distribution portfolio. These products typically do not have pictures or detailed descriptions. However, we are committed to improving your shopping experience. Please use the form below to provide feedback related to the content on this product.

Product Title

By clicking Submit, you acknowledge that you may be contacted by Fisher Scientific in regards to the feedback you have provided in this form. We will not share your information for any other purposes. All contact information provided shall also be maintained in accordance with our Privacy Policy.

Thank You! Your feedback has been submitted. Fisher Scientific is always working to improve our content for you. We appreciate your feedback.