missing translation for 'onlineSavingsMsg'
Learn More

UBE2J1 Monoclonal Antibody (OTI3C11), TrueMAB™, OriGene

Mouse Monoclonal Antibody

Brand:  Origene Technologies TA504969

Encompass_Preferred

 View more versions of this product

Product Code. 17502842

  • € 540.87 / 100µL

Please to purchase this item. Need a web account? Register with us today!

This item is not returnable. View return policy

Description

Description

The modification of proteins with ubiquitin is an important cellular mechanism for targeting abnormal or short-lived proteins for degradation. Ubiquitination involves at least three classes of enzymes: ubiquitin-activating enzymes, or E1s, ubiquitin-conjugating enzymes, or E2s, and ubiquitin-protein ligases, or E3s. This gene encodes a member of the E2 ubiquitin-conjugating enzyme family. This enzyme is located in the membrane of the endoplasmic reticulum and may contribute to quality control ER-associated degradation by the ubiquitin-proteasome system.
Specifications

Specifications

UBE2J1
Monoclonal
1 mg/mL
PBS with 1% BSA, 50% glycerol and 0.02% sodium azide
Q9Y385
UBE2J1
Full length human recombit protein of human UBE2J1 produced in HEK293T cell.
100 μL
Primary
Human
Antibody
IgG2a
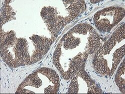
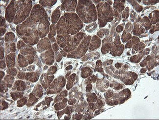
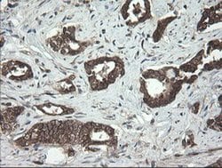
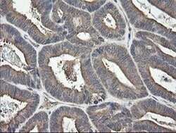
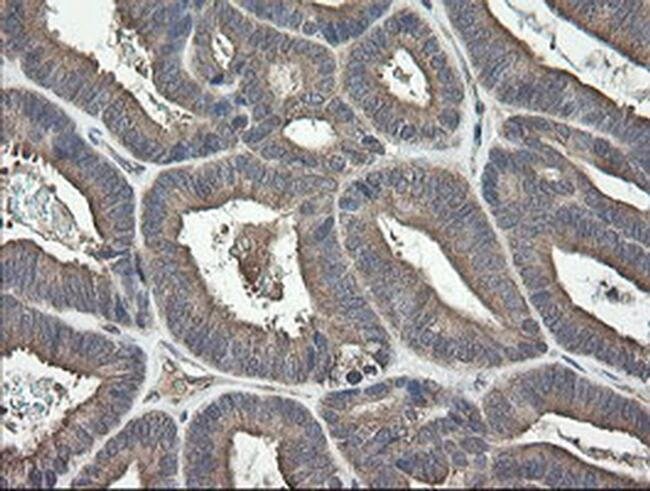
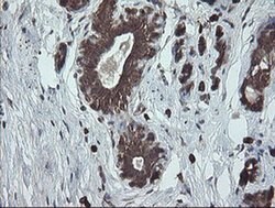
Immunohistochemistry (Paraffin), Western Blot
OTI3C11
Unconjugated
UBE2J1
CGI-76, HSPC153, HSPC205, HSU93243, NCUBE-1, NCUBE1, UBC6, UBC6E, Ubc6p
Mouse
Affinity Chromatography
RUO
51465
-20° C, Avoid Freeze/Thaw Cycles
Liquid
Product Suggestions

Product Suggestions

Videos
SDS
Documents

Documents

Certificates
Promotions

Promotions

Product Content Correction

The Fisher Scientific Encompass Program offers items which are not part of our distribution portfolio. These products typically do not have pictures or detailed descriptions. However, we are committed to improving your shopping experience. Please use the form below to provide feedback related to the content on this product.

Product Title

By clicking Submit, you acknowledge that you may be contacted by Fisher Scientific in regards to the feedback you have provided in this form. We will not share your information for any other purposes. All contact information provided shall also be maintained in accordance with our Privacy Policy.

Thank You! Your feedback has been submitted. Fisher Scientific is always working to improve our content for you. We appreciate your feedback.