missing translation for 'onlineSavingsMsg'
Learn More
Learn More
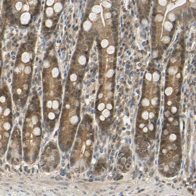
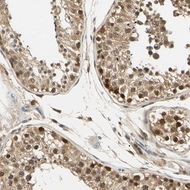
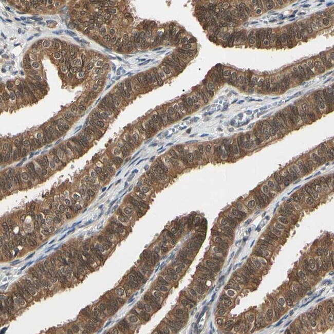
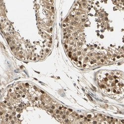
Invitrogen™ UBE2Z Polyclonal Antibody

Rabbit Polyclonal Antibody
Brand: Invitrogen™ PA552486
This item is not returnable.
View return policy
Description
Immunogen sequence: ISSVLISIQS LMTENPYHNE PGFEQERHPG DSKNYNECIR HETIRVAVCD MMEGKCPCPE PLRGVMEKSF LEYYDFYEVA CKDRLHLQGQ TMQDPFGEKR GHFDYQSLLM RLGLIRQKVL ERLHNENAEM DS Highest antigen sequence identity to the following orthologs: Mouse - 100%, Rat - 100%.
This gene encodes an enzyme which ubiquitinates proteins which participate in signaling pathways and apoptosis.
Specifications
| UBE2Z | |
| Polyclonal | |
| Unconjugated | |
| UBE2Z | |
| AW049199; C030047H17Rik; D11Moh35; E2 ubiquitin-conjugating enzyme Z; HOYS7; RGD1308347; uba6-specific E2 conjugating enzyme 1; UBA6-specific enzyme E2; UBE2Z; Ubiquitin carrier protein Z; ubiquitin conjugating enzyme E2 Z; ubiquitin conjugating enzyme E2Z; ubiquitin-conjugating enzyme E2 Z; ubiquitin-conjugating enzyme E2Z; ubiquitin-conjugating enzyme E2Z (putative); ubiquitin-protein ligase Z; Use1 | |
| Rabbit | |
| Antigen affinity chromatography | |
| RUO | |
| 268470, 303478, 65264 | |
| Store at 4°C short term. For long term storage, store at -20°C, avoiding freeze/thaw cycles. | |
| Liquid |
| Immunohistochemistry (Paraffin), Western Blot, Immunocytochemistry | |
| 0.1 mg/mL | |
| PBS with 40% glycerol and 0.02% sodium azide; pH 7.2 | |
| Q3B7D1, Q3UE37, Q9H832 | |
| UBE2Z | |
| Recombinant protein corresponding to Human UBE2Z. Recombinant protein control fragment (Product #RP-89726). | |
| 100 μL | |
| Primary | |
| Human, Mouse, Rat | |
| Antibody | |
| IgG |
Product Content Correction
Your input is important to us. Please complete this form to provide feedback related to the content on this product.
Product Title
Spot an opportunity for improvement?Share a Content Correction