missing translation for 'onlineSavingsMsg'
Learn More
Learn More
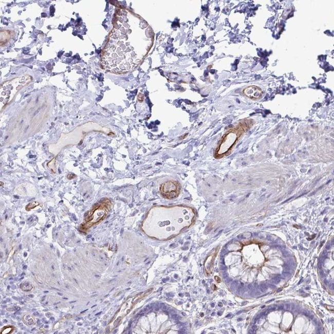
Invitrogen™ UBL3 Polyclonal Antibody

Rabbit Polyclonal Antibody
Marca: Invitrogen™ PA563614
Este artículo no se puede devolver.
Vea la política de devoluciones
Descripción
Immunogen sequence: LIYQGRFLHG NVTLGALKLP FGKTTVMHLV ARETLPEPNS QGQRNREKTG ESNCCVIL Highest antigen sequence identity to the following orthologs: Mouse - 100%, Rat - 100%.
Ubiquitin is a 77 amino acid protein that targets proteins for degradation by the 26S proteasome. Ubiquitin-like proteins are not directly involved in protein degradation, but appear to have many mechanistic similarities with the ubiquitin pathway. UBL3 (ubiquitin-like protein 3), also known as membrane-anchored ubiquitin-fold protein (MUB) or PNSC1, is a 117 amino acid membrane protein belonging to the ubiquitin-like family. Highly conserved between species, UBL3 contains two potential N-glycosylation sites, a potential protein kinase C phosphorylation site, and a potential C-terminal prenylation site. The gene encoding UBL3 is localized to chromosome 13q12. 3.
Especificaciones
| UBL3 | |
| Polyclonal | |
| Unconjugated | |
| UBL3 | |
| AW108023; HCG; HCG-1; hsMUB; Membrane-anchored ubiquitin-fold protein; mmMUB; MUB; PNSC1; Protein HCG-1; ubiquitin like 3; ubiquitin-like 3; ubiquitin-like protein 3; Ubl3; Unknown (protein for MGC:128515) | |
| Rabbit | |
| Antigen affinity chromatography | |
| RUO | |
| 5412 | |
| Store at 4°C short term. For long term storage, store at -20°C, avoiding freeze/thaw cycles. | |
| Liquid |
| Immunohistochemistry (Paraffin) | |
| 0.05 mg/mL | |
| PBS with 40% glycerol and 0.02% sodium azide; pH 7.2 | |
| O95164 | |
| UBL3 | |
| Recombinant protein corresponding to Human UBL3. Recombinant protein control fragment (Product #RP-97934). | |
| 100 μL | |
| Primary | |
| Human | |
| Antibody | |
| IgG |
Corrección del contenido de un producto
Proporcione sus comentarios sobre el contenido del producto rellenando el siguiente formulario.
Título del producto
¿Detecta una oportunidad de mejora?Comparta una corrección de contenido