missing translation for 'onlineSavingsMsg'
Learn More
Learn More
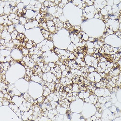
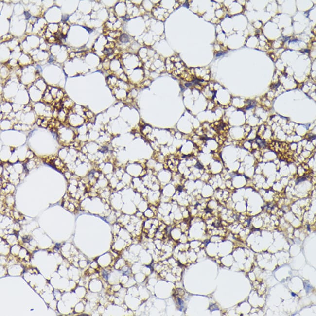
Invitrogen™ UCP1 Polyclonal Antibody

Description
Positive test controls include: Mouse kidney, HL-60, Rat lung. The target is usually found in the following locations: Mitochondrion inner membrane, Multi-pass membrane protein.
Mitochondrial uncoupling proteins are members of the family of mitochondrial anion carrier proteins. UCPs separate oxidative phosphorylation from ATP synthesis with energy dissipated as heat, also referred to as the mitochondrial proton leak. UCPs facilitate the transfer of anions from the inner to the outer mitochondrial membrane and the return transfer of protons from the outer to the inner mitochondrial membrane. They also reduce the mitochondrial membrane potential in mammalian cells. Tissue specificity occurs for the different UCPs and the exact methods of how UCPs transfer H+/OH- are not known. UCPs contain the three homologous protein domains of MACPs. This gene is expressed only in brown adipose tissue, a specialized tissue which functions to produce heat.
Specifications
Specifications
| Antigen | UCP1 |
| Applications | ELISA, Immunohistochemistry (Paraffin), Western Blot |
| Classification | Polyclonal |
| Concentration | 0.68 mg/mL |
| Conjugate | Unconjugated |
| Formulation | PBS with 50% glycerol and 0.09% sodium azide; pH 7.3 |
| Gene | Ucp1 |
| Gene Accession No. | P04633, P12242 |
| Gene Alias | AI385626; HGNC:12517; mitochondrial brown fat uncoupling protein 1; SLC25A7; solute carrier family 25 member 7; Thermogenin; Ucp; UCP 1; Ucp1; Ucpa; uncoupling protein; uncoupling protein 1; uncoupling protein 1 (mitochondrial, proton carrier); uncoupling protein 1, mitochondrial; uncoupling protein, mitochondrial; Uncp; unnamed protein product |
| Gene Symbols | Ucp1 |
| Show More |
Product Title
By clicking Submit, you acknowledge that you may be contacted by Fisher Scientific in regards to the feedback you have provided in this form. We will not share your information for any other purposes. All contact information provided shall also be maintained in accordance with our Privacy Policy.
Spot an opportunity for improvement?