Learn More
Invitrogen™ UPF1 Polyclonal Antibody

Rabbit Polyclonal Antibody
Brand: Invitrogen™ PA580208
Description
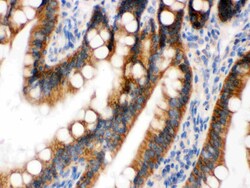
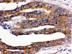
Reconstitute with 0.2 mL of distilled water to yield a concentration of 500 μg/mL. Positive Control - WB: human Hela whole cell, human Raji whole cell, human HepG2 whole cell, human SK-OV-3 whole cell, human PC-3 whole cell, human HEK293 whole cell, rat RH35 whole cell, mouse HEPA1-6 whole cell. IHC: mouse intestine tissue, rat intestine tissue, human intestinal cancer tissue. ICC/IF: A431 cell. Flow: PC-3 cell.
Upf1 was identified as an active component in nonsense-mediated decay (NMD), an mRNA surveillance mechanism in eukaryotic cells that degrades mRNAs containing premature termination codons. Upf1 was found to be an ATP-dependent RNA helicase in the cytoplasm and was later shown to be a component of cytoplasmic P-bodies. Upf1 phosphorylation mediates the repression of translation that accompanies NMD, allowing mRNA accessibility to the NMD machinery. Two other active components of NMD, Upf2 and Upf3, were also identified and described as having perinuclear and nucleocytoplasmic localization, respectively.
Specifications
| UPF1 | |
| Polyclonal | |
| Unconjugated | |
| UPF1 | |
| ATP-dependent helicase RENT1; B430202H16Rik; delta helicase; FLJ43809; FLJ46894; HUPF1; KIAA0221; LOW QUALITY PROTEIN: regulator of nonsense transcripts 1; mUpf1; Nonsense mRNA reducing factor 1; NORF1; pNORF1; PNORF-1; Regulator of nonsense transcripts 1; Regulator of nonsense transcripts 1 (Nonsense mRNA reducing factor 1) (NORF1) (Up-frameshift suppressor 1 homolog); Rent1; smg-2; smg-2 homolog, nonsense mediated mRNA decay factor; Upf1; UPF1 regulator of nonsense transcripts homolog; UPF1 regulator of nonsense transcripts homolog (yeast); UPF1 RNA helicase and ATPase; UPF1, RNA helicase and ATPase; Upflp; up-frameshift mutation 1 homolog; up-frameshift suppressor 1 homolog; wu:fi40f07; wu:fj48a01; yeast Upf1p homolog; zgc:55472 | |
| Rabbit | |
| Antigen affinity chromatography | |
| RUO | |
| 19704, 5976, 684558 | |
| -20°C | |
| Lyophilized |
| Flow Cytometry, Immunohistochemistry (Paraffin), Western Blot, Immunocytochemistry, Western Blot | |
| 500 μg/mL | |
| PBS with 5mg BSA and 0.05mg sodium azide | |
| Q92900, Q9EPU0 | |
| UPF1 | |
| A synthetic peptide corresponding to a sequence in the middle region of human RENT1/hUPF1 (578-614aa NMDSMPELQKLQQLKDETGELSSADEKRYRALKRT AE). | |
| 100 μg | |
| Primary | |
| Human, Mouse, Rat | |
| Antibody | |
| IgG |
Your input is important to us. Please complete this form to provide feedback related to the content on this product.