missing translation for 'onlineSavingsMsg'
Learn More
Learn More
Description
Immunogen sequence: FTPNLFLKQM LERYQNNSPP NNDDQWKNNG VTKTWDRLML QDNCCGVNGP SDW Highest antigen sequence identity to the following orthologs: Mouse - 91%, Rat - 87%.
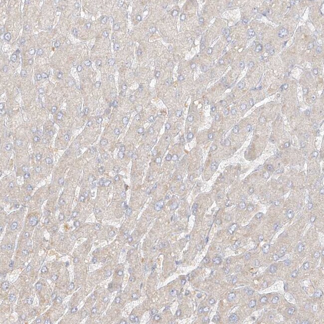
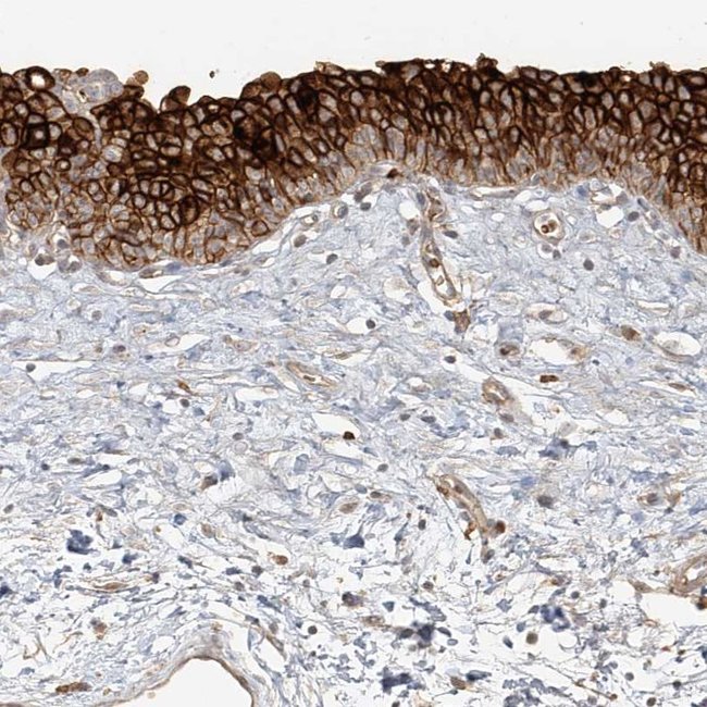
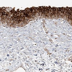
Component of the asymmetric unit membrane (AUM); a highly specialized biomembrane elaborated by terminally differentiated urothelial cells. May play an important role in normal bladder epithelial physiology, possibly in regulating membrane permeability of superficial umbrella cells or in stabilizing the apical membrane through AUM/cytoskeletal interactions.
Specifications
Specifications
| Antigen | UPK1B |
| Applications | Immunohistochemistry (Paraffin) |
| Classification | Polyclonal |
| Concentration | 0.05 mg/mL |
| Conjugate | Unconjugated |
| Formulation | PBS with 40% glycerol and 0.02% sodium azide; pH 7.2 |
| Gene | UPK1B |
| Gene Accession No. | O75841 |
| Gene Alias | AI413235; tetraspan; tetraspanin-20; Tspan20; Tspan-20; UP1b; UPIb; Upk1; Upk1b; uroplakin 1B; uroplakin Ib; Uroplakin-1b |
| Gene Symbols | UPK1B |
| Show More |
Product Title
By clicking Submit, you acknowledge that you may be contacted by Fisher Scientific in regards to the feedback you have provided in this form. We will not share your information for any other purposes. All contact information provided shall also be maintained in accordance with our Privacy Policy.
Spot an opportunity for improvement?
