Learn More
Invitrogen™ USP29 Polyclonal Antibody

Rabbit Polyclonal Antibody
Brand: Invitrogen™ PA5140285
Description
Gently mix before use. Optimal concentrations and conditions for each application should be determined by the user. Immunogen sequence: SQGMAEQLQQ CIEESIIDEF LQQAPPPGVR KLDAQEHTEE TLNQSTELRL QKADLNHLGA LGSDNPGNKN ILDAENTRGE AKELTRNVKM G Highest antigen sequence indentity to the following orthologs: Rat - 40%, Mouse - 38%.
USP29 (Ubiquitin Specific Peptidase 29) is a Protein Coding gene. Among its related pathways are Ubiquitin-Proteasome Dependent Proteolysis. Gene Ontology (GO) annotations related to this gene include cysteine-type endopeptidase activity and thiol-dependent ubiquitin-specific protease activity. An important paralog of this gene is USP37. [GeneCards].
Specifications
| USP29 | |
| Polyclonal | |
| Unconjugated | |
| USP29 | |
| ASL1/Usp29 fusion; deubiquitinating enzyme 29; HOM-TES-84/86; Ocat; ossification center-associated transcript; ubiquitin carboxyl-terminal hydrolase 29; ubiquitin specific peptidase 29; ubiquitin specific protease 29; ubiquitin thioesterase 29; ubiquitin thiolesterase 29; ubiquitin-specific processing protease; ubiquitin-specific-processing protease 29; Usp29 | |
| Rabbit | |
| Antigen affinity chromatography | |
| RUO | |
| 57663 | |
| Store at 4°C short term. For long term storage, store at -20°C, avoiding freeze/thaw cycles. | |
| Liquid |
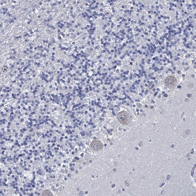
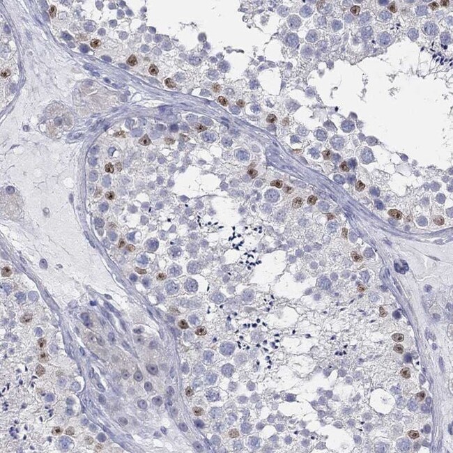
| Immunohistochemistry (Paraffin) | |
| 1.1 mg/mL | |
| PBS with 40% glycerol and 0.02% sodium azide; pH 7.2 | |
| Q9HBJ7 | |
| USP29 | |
| Recombinant protein corresponding to Human USP29. Recombinant protein control fragment (Product #RP-109559). | |
| 100 μL | |
| Primary | |
| Human | |
| Antibody | |
| IgG |
Your input is important to us. Please complete this form to provide feedback related to the content on this product.