missing translation for 'onlineSavingsMsg'
Learn More
Learn More
Invitrogen™ V-ATPase E2 Polyclonal Antibody

Rabbit Polyclonal Antibody
Brand: Invitrogen™ PA5140273
This item is not returnable.
View return policy
Description
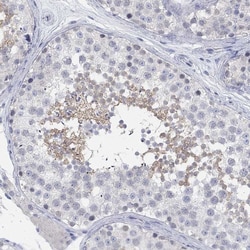
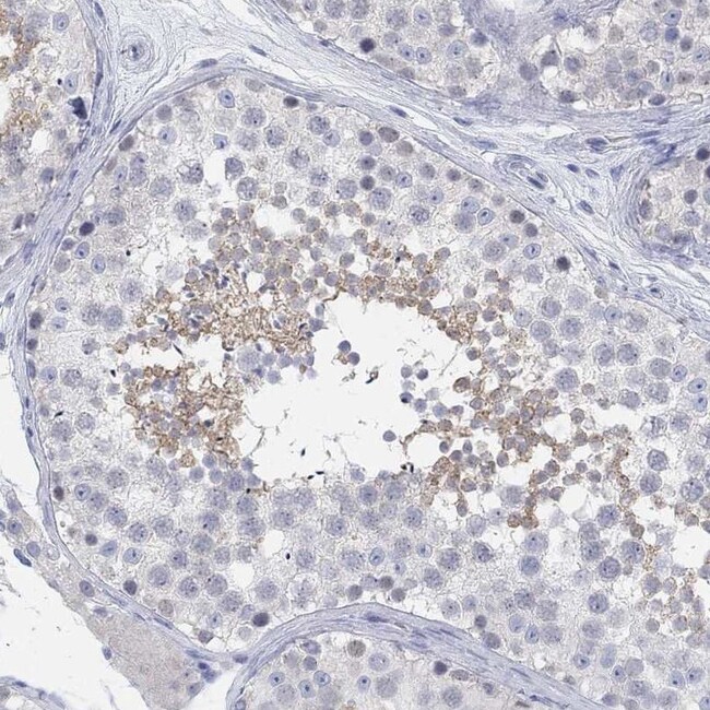
Gently mix before use. Optimal concentrations and conditions for each application should be determined by the user. Immunogen sequence: AKLRLSRIVE DPEVYQGLLD K Highest antigen sequence indentity to the following orthologs: Rat - 76%, Mouse - 76%.
Subunit of the peripheral V1 complex of vacuolar ATPase essential for assembly or catalytic function. V-ATPase is responsible for acidifying a variety of intracellular compartments in eukaryotic cells. This isoform is essential for energy coupling involved in acidification of acrosome.
Specifications
| V-ATPase E2 | |
| Polyclonal | |
| Unconjugated | |
| ATP6V1E2 | |
| 4930500C14Rik; Atp6e1; ATP6EL2; Atp6v1e2; ATP6V1EL2; ATPase H+ transporting V1 subunit E2; ATPase, H transporting, lysosomal V1 subunit E2; ATPase, H+ transporting, lysosomal 31kDa, V1 subunit E2; ATPase, H+ transporting, lysosomal 31kDa, V1 subunit E-like 2; ATPase, H+ transporting, lysosomal V1 subunit E2; ATPase, H+ transporting, V1 subunit E-like 2; E1; lysosomal 31kDa; testis secretory sperm-binding protein Li 235P; vacuolar proton pump subunit E 2; vacuolar-type proton-translocating ATPase subunit E1; V-ATPase subunit E 2; VMA4; V-type proton ATPase subunit E 2 | |
| Rabbit | |
| Antigen affinity chromatography | |
| RUO | |
| 90423 | |
| Store at 4°C short term. For long term storage, store at -20°C, avoiding freeze/thaw cycles. | |
| Liquid |
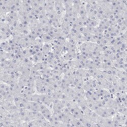
| Immunohistochemistry (Paraffin) | |
| 0.2 mg/mL | |
| PBS with 40% glycerol and 0.02% sodium azide; pH 7.2 | |
| Q96A05 | |
| ATP6V1E2 | |
| Recombinant protein corresponding to Human ATP6V1E2. Recombinant protein control fragment (Product #RP-109451). | |
| 100 μL | |
| Primary | |
| Human | |
| Antibody | |
| IgG |
Product Content Correction
Your input is important to us. Please complete this form to provide feedback related to the content on this product.
Product Title
Spot an opportunity for improvement?Share a Content Correction