missing translation for 'onlineSavingsMsg'
Learn More
Learn More
Invitrogen™ VAMP3 Recombinant Rabbit Monoclonal Antibody (JG36-31)

Rabbit Recombinant Monoclonal Antibody
Brand: Invitrogen™ MA534747
This item is not returnable.
View return policy
Description
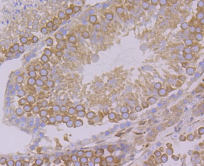
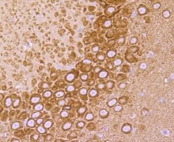
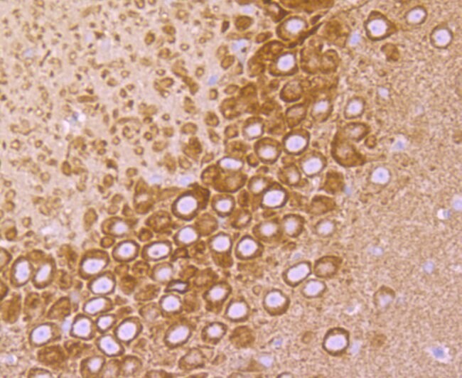
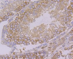
Positive Control: 293T, SiHa, rat brain tissue, rat hippocampus tissue, mouse testis tissue.
Synaptobrevins/VAMPs, syntaxins, and the 25-kDa synaptosomal-associated protein are the main components of a protein complex involved in the docking and/or fusion of synaptic vesicles with the presynaptic membrane. This gene is a member of the vesicle-associated membrane protein (VAMP)/synaptobrevin family. Because of its high homology to other known VAMPs, its broad tissue distribution, and its subcellular localization, the protein encoded by this gene was shown to be the human equivalent of the rodent cellubrevin. In platelets the protein resides on a compartment that is not mobilized to the plasma membrane on calcium or thrombin stimulation.
Specifications
| VAMP3 | |
| Recombinant Monoclonal | |
| 1 mg/mL | |
| TBS with 0.05% BSA, 40% glycerol and 0.05% sodium azide; pH 7.4 | |
| Q15836 | |
| VAMP3 | |
| Recombinant protein within Human Cellubrevin aa 1-100. | |
| 100 μL | |
| Primary | |
| Human | |
| Antibody | |
| IgG |
| Flow Cytometry, Immunohistochemistry (Paraffin), Western Blot, Immunocytochemistry | |
| JG36-31 | |
| Unconjugated | |
| VAMP3 | |
| CEB; Cellubrevin; D130027G05Rik; hypothetical protein LOC415163; Syb3; Synaptobrevin-3; vamp; Vamp3; VAMP-3; vesicle associated membrane protein 3; vesicle-associated membrane protein 3; vesicle-associated membrane protein 3 (cellubrevin); zgc:86726 | |
| Rabbit | |
| Protein A | |
| RUO | |
| 9341 | |
| -20°C, Avoid Freeze/Thaw Cycles, store in dark | |
| Liquid |
Product Content Correction
Your input is important to us. Please complete this form to provide feedback related to the content on this product.
Product Title
Spot an opportunity for improvement?Share a Content Correction