missing translation for 'onlineSavingsMsg'
Learn More
Learn More
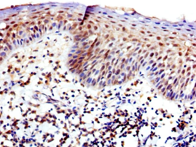
Invitrogen™ WASP Polyclonal Antibody

Description
WASP Polyclonal Antibody for Western Blot, ICC/IF, IHC (P), ELISA
The Wiskott-Aldrich syndrome family of proteins share similar domain structure, and are involved in transduction of signals from receptors on the cell surface to the actin cytoskeleton. The presence of a number of different motifs suggests that they are regulated by a number of different stimuli, and interact with multiple proteins. Recent studies have demonstrated that these proteins, directly or indirectly, associate with the small GTPase, Cdc42, known to regulate formation of actin filaments, and the cytoskeletal organizing complex, Arp2/3. Wiskott-Aldrich syndrome is a rare, inherited, X-linked, recessive disease characterized by immune dysregulation and microthrombocytopenia, and is caused by mutations in the WAS gene. The WAS gene product is a cytoplasmic protein, expressed exclusively in hematopoietic cells, which show signalling and cytoskeletal abnormalities in WAS patients. A transcript variant arising as a result of alternative promoter usage, and containing a different 5' UTR sequence, has been described, however, its full-length nature is not known.
Specifications
Specifications
| Antigen | WASP |
| Applications | ELISA, Immunohistochemistry (Paraffin), Western Blot, Immunocytochemistry |
| Classification | Polyclonal |
| Concentration | 1 mg/mL |
| Conjugate | Unconjugated |
| Formulation | PBS with 50% glycerol and 0.03% ProClin 300; pH 7.4 |
| Gene | Was |
| Gene Accession No. | P42768 |
| Gene Alias | 2900021I12Rik; 3110031I02Rik; eczema-thrombocytopenia; IMD2; neural Wiskott-Aldrich syndrome protein; NWASP; N-WASP; SCNX; THC; THC1; thrombocytopenia 1 (X-linked); TRS4; U42471; Was; WASL; Wasp; WASPA; WASPB; Wiskott-Aldrich syndrome; Wiskott-Aldrich syndrome homolog; Wiskott-Aldrich syndrome homolog (human); Wiskott-Aldrich syndrome like; wiskott-Aldrich syndrome protein; Wiskott-Aldrich syndrome protein homolog; Wiskott-Aldrich syndrome-like; Wiskott-Aldrich syndrome-like (human) |
| Gene Symbols | Was |
| Show More |
Product Title
By clicking Submit, you acknowledge that you may be contacted by Fisher Scientific in regards to the feedback you have provided in this form. We will not share your information for any other purposes. All contact information provided shall also be maintained in accordance with our Privacy Policy.
Spot an opportunity for improvement?