missing translation for 'onlineSavingsMsg'
Learn More
Learn More
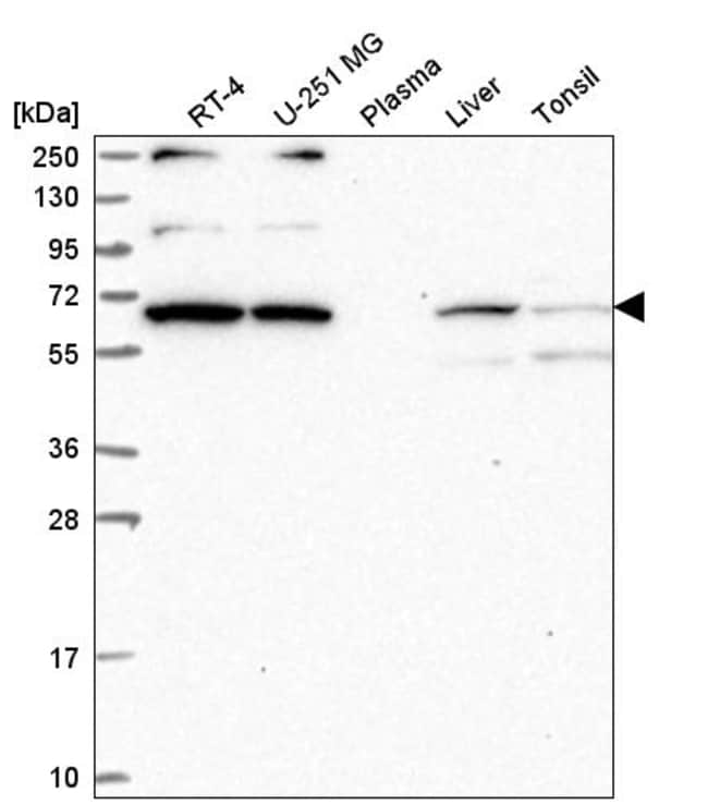
Invitrogen™ WBP11 Polyclonal Antibody

Description
Immunogen sequence: DIYKELRKLE VEYEQKRAQL SQYFDAVKNA QHVEVESIPL PDMPHAPSNI LIQDIPLPGA QPPSILKKTS AYGPPTRAVS ILPLLGHGVP RLP Highest antigen sequence indentity to the following orthologs: Mouse - 99%, Rat - 100%.
Posttranslational modification of proteins by the addition of the small protein SUMO.
Specifications
Specifications
| Antigen | WBP11 |
| Applications | Western Blot, Immunocytochemistry |
| Classification | Polyclonal |
| Concentration | 0.05 mg/mL |
| Conjugate | Unconjugated |
| Formulation | PBS with 40% glycerol and 0.02% sodium azide; pH 7.2 |
| Gene | WBP11 |
| Gene Accession No. | Q9Y2W2 |
| Gene Alias | 2510026P17Rik; D6Wsu113e; DKFZp779M1063; hypothetical protein LOC402950; Npw38-binding protein; Npw38-binding protein NpwBP; NpwBP; PPP1R165; protein phosphatase 1, regulatory subunit 165; SH3 domain-binding protein; SH3 domain-binding protein SNP70; SIPP1; SNP70; Splicing factor that interacts with PQBP-1 and PP1; splicing factor, PQBP1 and PP1 interacting; Wbp11; WBP-11; WW domain binding protein 11; WW domain-binding protein 11; zgc:77390 |
| Gene Symbols | WBP11 |
| Show More |
Product Title
By clicking Submit, you acknowledge that you may be contacted by Fisher Scientific in regards to the feedback you have provided in this form. We will not share your information for any other purposes. All contact information provided shall also be maintained in accordance with our Privacy Policy.
Spot an opportunity for improvement?