Learn More
Invitrogen™ WTAP Polyclonal Antibody

Rabbit Polyclonal Antibody
Brand: Invitrogen™ PA5144681
Description
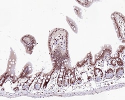
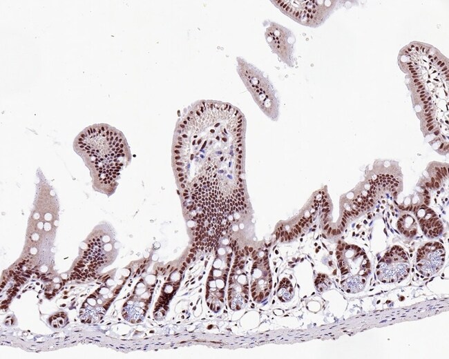
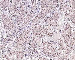
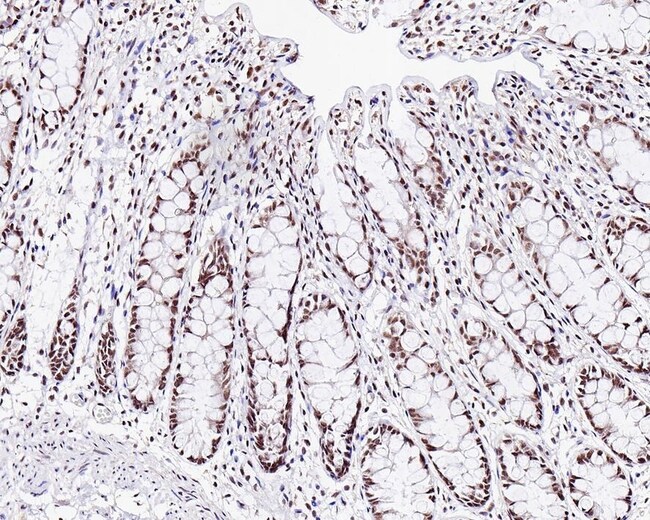
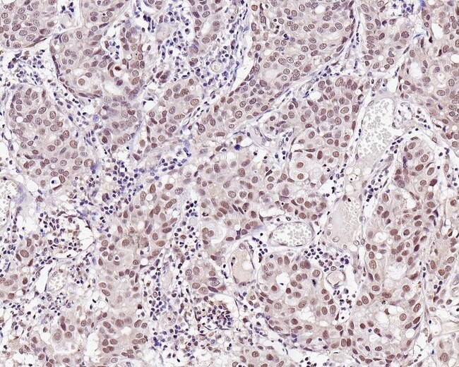
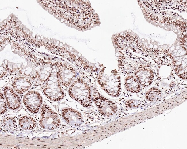
Positive control: K562 cell lysate, Jurkat cell lysate, Hela cell lysate, HepG2 cell lysate, 293T cell lysate, NIH/3T3 cell lysate, PC-12 cell lysate, human breast carcinoma tissue, human colon tissue, mouse small intestine tissue, rat small intestine tissue, NIH/3T3. Predicted band size: 44 kDa Subcellular Location: Nucleus speckle, Nucleus, nucleoplasm, Cytoplasm.
Wilms' tumor (WT) is an embryonal malignancy of the kidney that affects 1 in 10,000 infants and is observed in both sporadic and inherited forms. The Wilms' tumor protein (WT1) binds the DNA sequence GCGGGGGCG, a recognition element common to the early growth response (Egr) family of Zn2+ finger transcriptional activators, and functions as a transcriptional repressor. WTAP (Wilms tumor 1-associating protein) is a ubiquitously expressed nuclear protein that interacts with WT1 and may be involved in regulating mRNA splicing. WTAP is found in nuclear speckles, where it regulates the G2/M cell cycle transition by binding to the 3' UTR of cyclin A2, thus enhancing its stability. Additionally, WTAP inhibits expression of WT1 target genes and is able to impair the ability of WT1 to bind DNA. Two isoforms of WTAP exist due to alternative splicing events.
Specifications
| WTAP | |
| Polyclonal | |
| Unconjugated | |
| WTAP | |
| 2810408K05Rik; 9430038B09Rik; Female-lethal(2)D homolog; hFL(2)D; KIAA0105; Mum2; PNAS-132; pre-mRNA-splicing regulator WTAP; putative pre-mRNA splicing regulator female-lethal(2D); RGD1563824; Wilms tumor 1 associated protein; wilms tumor 1-associating protein; Wilms' tumour 1-associating protein; Wilms tumour 1-associating protein; WT1-associated protein; WTAP | |
| Rabbit | |
| Affinity chromatography | |
| RUO | |
| 499020, 60532, 9589 | |
| Store at 4°C short term. For long term storage, store at -20°C, avoiding freeze/thaw cycles. | |
| Liquid |
| Immunohistochemistry (Paraffin), Western Blot, Immunocytochemistry | |
| 2 mg/mL | |
| PBS with 0.1% BSA, 40% glycerol and 0.05% sodium azide; pH 7.4 | |
| Q15007, Q9ER69 | |
| WTAP | |
| Recombinant protein within human WTAP aa 1-300/396. | |
| 100 μL | |
| Primary | |
| Human, Mouse, Rat | |
| Antibody | |
| IgG |
Your input is important to us. Please complete this form to provide feedback related to the content on this product.