missing translation for 'onlineSavingsMsg'
Learn More
Learn More
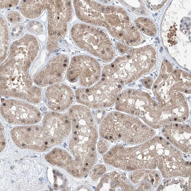
Invitrogen™ ZBTB48 Polyclonal Antibody

Rabbit Polyclonal Antibody
Brand: Invitrogen™ PA556467
This item is not returnable.
View return policy
Description
Immunogen sequence: TSVGQAAGGQ SGLGPPASQN VNSHVKEPAG LEEEEVSRTL GLVPRDQEPR GSHSPQRPQL HSPAQSEGPS SLCGKLKQAL Highest antigen sequence identity to the following orthologs: Mouse - 63%, Rat - 59%.
ZBTB48 contains 1 BTB (POZ) domain and 11 C2H2-type zinc fingers. It belongs to the krueppel C2H2-type zinc-finger protein family and binds to and regulates the J and/or S elements in MHC II promoter.
Specifications
| ZBTB48 | |
| Polyclonal | |
| Unconjugated | |
| ZBTB48 | |
| 0610011D15Rik; AI327031; GLI-Krueppel family member HKR3; GLI-Kruppel family member HKR3; HKR3; Krueppel-related zinc finger protein 3; Krueppel-related zinc finger protein 3 homolog; pp9964; Telomere zinc finger-associated protein; Tzap; Zbtb48; zinc finger and BTB domain containing 48; zinc finger and BTB domain-containing protein 48; zinc finger and BTB domain-containing protein 48; telomere zinc finger-associated protein; zinc finger protein 855; ZNF855 | |
| Rabbit | |
| Antigen affinity chromatography | |
| RUO | |
| 3104 | |
| Store at 4°C short term. For long term storage, store at -20°C, avoiding freeze/thaw cycles. | |
| Liquid |
| Immunohistochemistry (Paraffin), Immunocytochemistry | |
| 0.1 mg/mL | |
| PBS with 40% glycerol and 0.02% sodium azide; pH 7.2 | |
| P10074 | |
| ZBTB48 | |
| Recombinant protein corresponding to Human ZBTB48. Recombinant protein control fragment (Product #RP-94580). | |
| 100 μL | |
| Primary | |
| Human | |
| Antibody | |
| IgG |
Product Content Correction
Your input is important to us. Please complete this form to provide feedback related to the content on this product.
Product Title
Spot an opportunity for improvement?Share a Content Correction