missing translation for 'onlineSavingsMsg'
Learn More
Learn More
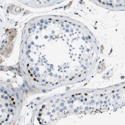
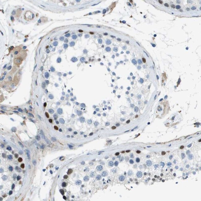
Invitrogen™ ZNF297B Polyclonal Antibody

Rabbit Polyclonal Antibody
Brand: Invitrogen™ PA553499
This item is not returnable.
View return policy
Description
Immunogen sequence: GVEEDFHIGE KKVEAEFDEQ ADESNYDEQV DFYGSSMEEF SGERSDGNLI GHRQEAALAA GYSENIEMVT GIKEEASHLG FSATDKLYPC QCGKSFTHKS QRDRHMSMHL GL Highest antigen sequence identity to the following orthologs: Mouse - 88%, Rat - 87%.
ZNF297B is a candidate transcription factor.
Specifications
| ZNF297B | |
| Polyclonal | |
| Unconjugated | |
| ZBTB43 | |
| 1700010E06Rik; Kiaa0414; mKIAA0414; ortholog of zinc finger protein 297B ZNF297B; ZBTB22B; ZBTB43; Zfp297b; zinc finger and BTB domain containing 43; zinc finger and BTB domain-containing protein 22B; Zinc finger and BTB domain-containing protein 43; zinc finger protein 297B; Znf297b; ZNF-X | |
| Rabbit | |
| Antigen Affinity Chromatography | |
| RUO | |
| 23099 | |
| Store at 4°C short term. For long term storage, store at -20°C, avoiding freeze/thaw cycles. | |
| Liquid |
| Immunohistochemistry (Paraffin), Immunocytochemistry | |
| 0.05 mg/mL | |
| PBS with 40% glycerol and 0.02% sodium azide; pH 7.2 | |
| O43298 | |
| ZBTB43 | |
| Recombinant protein corresponding to Human ZNF297B. Recombinant protein control fragment (Product #RP-91658). | |
| 100 μL | |
| Primary | |
| Human | |
| Antibody | |
| IgG |
Product Content Correction
Your input is important to us. Please complete this form to provide feedback related to the content on this product.
Product Title
Spot an opportunity for improvement?Share a Content Correction