missing translation for 'onlineSavingsMsg'
Learn More

ZNF69 Mouse anti-Human, Clone: OTI4A4, lyophilized, TrueMAB™

Mouse Monoclonal Antibody

Brand:  Origene Technologies CF808651

Encompass_Preferred

Product Code. 17640022

  • € 726.00 / 100µg

Please to purchase this item. Need a web account? Register with us today!

This item is not returnable. View return policy

Description

Description

Reconstitute with PBS (pH 7.3) and recommend to perform another round of desalting process using Product No. 7KMWCO

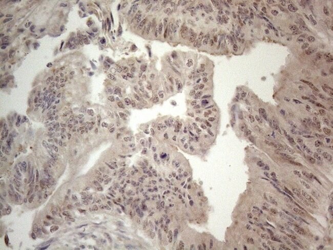
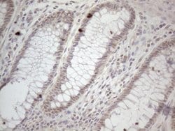
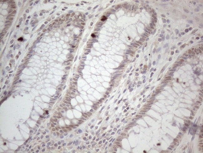
May be involved in transcriptional regulation.
Specifications

Specifications

ZNF69
Monoclonal
Unconjugated
ZNF69
Cos5, hZNF3
Mouse
Affinity Chromatography
RUO
7620
-20° C, Avoid Freeze/Thaw Cycles
Lyophilized
Immunohistochemistry (Paraffin), Western Blot
OTI4A4
PBS with 8% trehalose and no preservative; pH 7.3
Q9UC07
ZNF69
Full length human recombit protein of human ZNF69 produced in E.coli.
100 μg
Primary
Human
Antibody
IgG1
Product Suggestions

Product Suggestions

Videos
SDS
Documents

Documents

Certificates
Promotions

Promotions

Product Content Correction

The Fisher Scientific Encompass Program offers items which are not part of our distribution portfolio. These products typically do not have pictures or detailed descriptions. However, we are committed to improving your shopping experience. Please use the form below to provide feedback related to the content on this product.

Product Title

By clicking Submit, you acknowledge that you may be contacted by Fisher Scientific in regards to the feedback you have provided in this form. We will not share your information for any other purposes. All contact information provided shall also be maintained in accordance with our Privacy Policy.

Thank You! Your feedback has been submitted. Fisher Scientific is always working to improve our content for you. We appreciate your feedback.