missing translation for 'onlineSavingsMsg'
Learn More

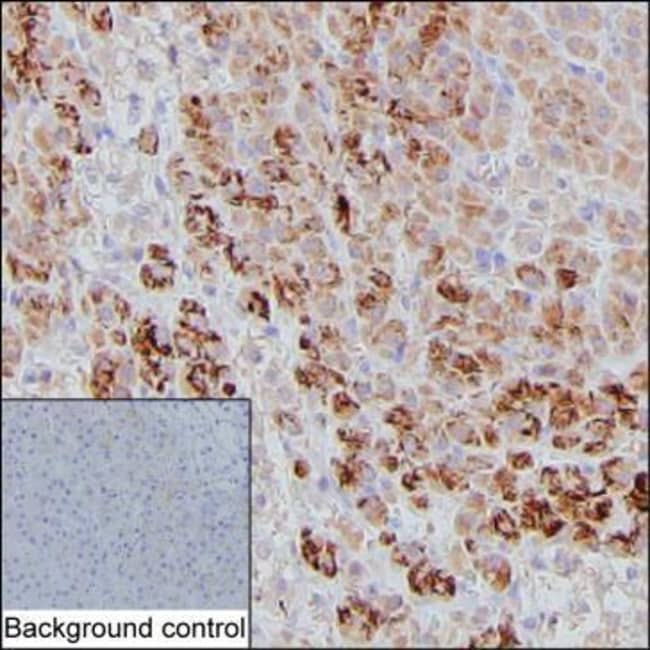
Invitrogen™ ASPM Monoclonal Antibody (K52002_11G4), Invitrogen™

Mouse Monoclonal Antibody

€ 480.00 - € 846.00

Specifications

Antigen ASPM
Clone K52002_11G4
Concentration 1 mg/mL
Applications Immunohistochemistry (Paraffin)
Classification Monoclonal
View More Specs

Products 2
Product Code Brand Quantity Price Quantity & Availability  
Product Code Brand Quantity Price Quantity & Availability  
30203775
View Documents
Invitrogen™
MA556234
200 μg
€ 846.00
200µg
View alternative products
Save Up to 
»
Please to purchase this item. Need a web account? Register with us today!
30196946
View Documents
Invitrogen™
MA555854
50 μg
€ 480.00
50µg
View alternative products
Save Up to 
»
Please to purchase this item. Need a web account? Register with us today!
Description

Description

Sequence of this protein is as follows: CKVPLSNENS QVPQSPEDWR KSEVSPRIPE CQGSKSPKAI FEELVEMKSN YYSFIKQNNP KFSAVQDISS HSHNKQPKRR PILSATVTKR KATCTRENQT EINKPKAKRC LNSAVGEHEK VINNQKEKED FHSYLPIIDP ILSKSKSYKN EVTPSSTTAS VARKRKSDGS MEDANVRVAI TEHTEVREIK RIHFSPSEPK TSAVKKTKNV TTPISKRISN REKLNLKKKT DLSIFRTPIS KTNKRTKPII AVAQSSLTFI KPLKTDIPRH PMPFAAKNMF YDERWKEKQE QGFTWWLNFI LTPDDFTVKT

ASPM Monoclonal antibody specifically detects ASPM in Human samples. It is validated for Immunohistochemistry (Paraffin), Western Blot
Specifications

Specifications

ASPM
1 mg/mL
Monoclonal
Liquid
RUO
PBS with 0.09% sodium azide
abnormal spindle microtubule assembly; Abnormal spindle protein homolog; Abnormal spindle-like microcephaly-associated protein; ASP; asp (abnormal spindle) homolog, microcephaly associated; Asp homolog; ASPM; Calmbp1; MCPH5
Recombinant human ASPM (immunogen range is 411-720).
Primary
Store at 4°C short term. For long term storage, store at -20°C, avoiding freeze/thaw cycles.
ASPM
K52002_11G4
Immunohistochemistry (Paraffin)
Unconjugated
Mouse
Human
Q8IZT6
259266
IgG2b
Protein A
Antibody
Videos
SDS
Documents

Documents

Product Certifications
Product Content Correction

Your input is important to us. Please complete this form to provide feedback related to the content on this product.

Product Title

By clicking Submit, you acknowledge that you may be contacted by Fisher Scientific in regards to the feedback you have provided in this form. We will not share your information for any other purposes. All contact information provided shall also be maintained in accordance with our Privacy Policy.

Thank You! Your feedback has been submitted. Fisher Scientific is always working to improve our content for you. We appreciate your feedback.