missing translation for 'onlineSavingsMsg'
Learn More

Invitrogen™ Mitofilin Monoclonal Antibody (K92014_1F4), Invitrogen™

Mouse Monoclonal Antibody

Brand:  Invitrogen™ MA555883

 View more versions of this product

Product Code. 30212697

  • € 524.00 / 50µg

Please to purchase this item. Need a web account? Register with us today!

This item is not returnable. View return policy

Description

Description

Sequence of this protein is as follows: FRESVEKTIP YSDKLFEMVL GPAAYNVPLP KKSIQSGPLK ISSVSEVMKE SKQPASQLQK QKGDTPASAT APTEAAQIIS AAGDTLSVPA PAVQPEESLK TDHPEIGEGK PTPALSEEAS SSSIRERPPE EVAARLAQQE KQEQVKIESL AKSLEDALRQ TASVTLQAIA AQNAAVQAVN AHSNILKAAM DNSEIAGEKK SAQWRTVEGA LKERRKAVDE AADALLKAKE ELEKMKSVIE

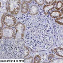
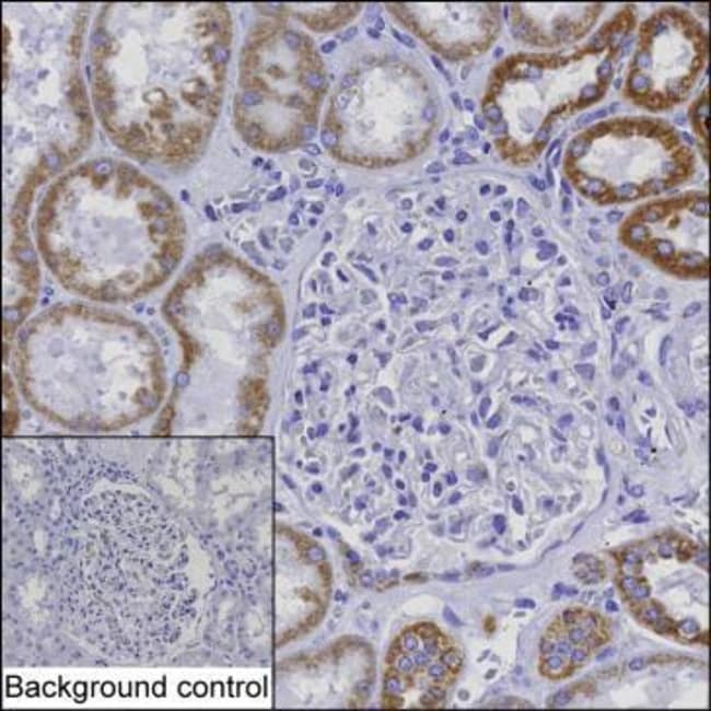
Mitofilin is a transmembrane protein of the inner mitochondrial membrane and it is associated with a large multimeric protein complex of about 1200 kDa. Mitofilin has critical functions in mitochondrial morphology and mitochondrial fusion and fission, specifically in the formation of tubular cristae and cristae junctions. Abnormal mitochondrial morphology has been implicated in many human diseases such as myopathy, cardiomyopathy, rhabdomyosarcoma and Whartin's tumor.
TRUSTED_SUSTAINABILITY
Specifications

Specifications

Mitofilin
Monoclonal
1 mg/mL
PBS with 50% glycerol, 0.5% BSA and 0.09% sodium azide
Q16891
IMMT
Recombinant human IMMT (immunogen range is 71-310).
50 μL
Primary
Human
Antibody
IgG1
Immunohistochemistry (Paraffin), Immunoprecipitation, Western Blot
K92014_1F4
Unconjugated
IMMT
1700082C19Rik; cell proliferation-inducing gene 4/52 protein; cell proliferation-inducing protein 52; D830041H16Rik; EMBL:AAI05842.1, ECO:0000312; EMBL:AAI05842.1}; HMP; Immt; immt {ECO:0000312; IMMT antibody; inner membrane mitochondrial protein; inner membrane protein, mitochondrial; inner membrane protein, mitochondrial (mitofilin); MGC133830 protein; MIC60; MICOS complex subunit Mic60; MINOS2; mitochondrial inner membrane organizing system 2; mitochondrial inner membrane protein; mitochondrial inner membrane protein {ECO:0000250; Mitofilin; mitofilin {ECO:0000250; motor protein; P87; p87/89; p87/89 antibody; P89; PIG4; PIG52; proliferation-inducing gene 4; RGD:1310684}; UniProtKB:Q8CAQ8, ECO:0000312; UniProtKB:Q8CAQ8}
Mouse
Protein A
RUO
10989
Store at 4°C short term. For long term storage, store at -20°C, avoiding freeze/thaw cycles.
Liquid
Product Suggestions

Product Suggestions

Videos
SDS
Documents

Documents

Certificates
Promotions

Promotions

Product Content Correction

Your input is important to us. Please complete this form to provide feedback related to the content on this product.

Product Title

By clicking Submit, you acknowledge that you may be contacted by Fisher Scientific in regards to the feedback you have provided in this form. We will not share your information for any other purposes. All contact information provided shall also be maintained in accordance with our Privacy Policy.

Thank You! Your feedback has been submitted. Fisher Scientific is always working to improve our content for you. We appreciate your feedback.