missing translation for 'onlineSavingsMsg'
Learn More

N-cadherin Mouse, anti-Human, Clone: 2G7C2, Proteintech

Mouse Monoclonal Antibody

Brand:  Proteintech 68532-1-IG-20UL

 View more versions of this product

Product Code. 18064785

  • € 145.00 / 20µL

Please to purchase this item. Need a web account? Register with us today!

This item is not returnable. View return policy

Description

Description

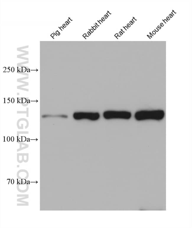
The N-cadherin antibody from Proteintech is a mouse monoclonal antibody generated with recombinant protein of human N-cadherin. This antibody recognizes human, pig, mouse, rat, rabbit antigen. The N-cadherin antibody has been validated for the following applications: IF, IHC, WB, ELISA analysis.

Specifications

Specifications

N-cadherin
2G7C2
Cadherin 2, CD325, CDH2, CDHN, CDw325, N cadherin, NCAD, Neural cadherin
20 μL
1000
Store at -20°C. Stable for one year after shipment.
Liquid
Western Blot, Immunofluorescence, Immunohistochemistry, ELISA
1000 μg/mL
Mouse
Primary
Human, Pig, Mouse, Rat, Rabbit
150 kDa
IgG2b
Product Suggestions

Product Suggestions

Videos
SDS
Documents

Documents

Certificates
Promotions

Promotions

Product Content Correction

Your input is important to us. Please complete this form to provide feedback related to the content on this product.

Product Title

By clicking Submit, you acknowledge that you may be contacted by Fisher Scientific in regards to the feedback you have provided in this form. We will not share your information for any other purposes. All contact information provided shall also be maintained in accordance with our Privacy Policy.

Thank You! Your feedback has been submitted. Fisher Scientific is always working to improve our content for you. We appreciate your feedback.