missing translation for 'onlineSavingsMsg'
Learn More

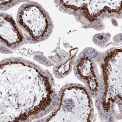
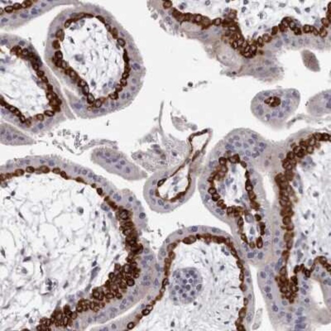
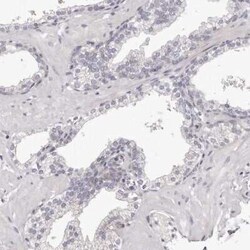
PEG10 Antibody, Novus Biologicals™

Rabbit Polyclonal Antibody

€ 415.00 - € 572.00

Specifications

Antigen PEG10
Dilution Immunohistochemistry 1:20 - 1:50, Immunohistochemistry-Paraffin 1:20 - 1:50
Applications Immunohistochemistry, Immunohistochemistry (Paraffin)
Classification Polyclonal
Conjugate Unconjugated
View More Specs

Products 2
Product Code Brand Quantity Price Quantity & Availability  
Product Code Brand Quantity Price Quantity & Availability  
18699418
View Documents
Novus Biologicals
NBP2-48592-25ul
25 μL
€ 415.00
25µL
View alternative products
Save Up to 
»
Please to purchase this item. Need a web account? Register with us today!
18667506
View Documents
Novus Biologicals
NBP2-48592
0.1 mL
€ 572.00
0.10mL
View alternative products
Save Up to 
»
Please to purchase this item. Need a web account? Register with us today!
Description

Description

PEG10 Polyclonal antibody specifically detects PEG10 in Human samples. It is validated for Immunohistochemistry, Immunohistochemistry (Paraffin)
Specifications

Specifications

PEG10
Immunohistochemistry, Immunohistochemistry (Paraffin)
Unconjugated
Rabbit
Human
embryonal carcinoma differentiation regulated, Embryonal carcinoma differentiation-regulated protein, HB-1, KIAA1051EDR, Mammalian retrotransposon-derived protein 2, Mar2, Mart2, MEF3 like 1, MEF3L, MEF3L1, Myelin expression factor 3-like protein 1, paternally expressed 10, Paternally expressed gene 10 protein, retrotransposon gag domain containing 3, Retrotransposon gag domain-containing protein 3, Retrotransposon-derived gag-like polyprotein, retrotransposon-derived protein PEG10, RGAG3MEF3-like protein 1, Ty3/Gypsy-like protein
This antibody was developed against a recombinant protein corresponding to amino acids: LVDPHIEMIPGAHSIPSGHVYSLSEPEMAALRDFVARNVKDGLITPTIAPNGAQVLQVKRGWKLQVSYDCRAPNNFTIQNQYPR
Primary
Store at 4°C short term. Aliquot and store at -20°C long term. Avoid freeze-thaw cycles.
Immunohistochemistry 1:20 - 1:50, Immunohistochemistry-Paraffin 1:20 - 1:50
Polyclonal
Purified
RUO
PBS (pH 7.2), 40% Glycerol
23089
IgG
Immunogen affinity purified
Videos
SDS
Documents

Documents

Product Certifications
Product Content Correction

Your input is important to us. Please complete this form to provide feedback related to the content on this product.

Product Title

By clicking Submit, you acknowledge that you may be contacted by Fisher Scientific in regards to the feedback you have provided in this form. We will not share your information for any other purposes. All contact information provided shall also be maintained in accordance with our Privacy Policy.

Thank You! Your feedback has been submitted. Fisher Scientific is always working to improve our content for you. We appreciate your feedback.