missing translation for 'onlineSavingsMsg'
Learn More

Invitrogen™ STX17 Monoclonal Antibody (K52003_13F1), Invitrogen™

Mouse Monoclonal Antibody

Brand:  Invitrogen™ MA556289

 View more versions of this product

Product Code. 30196849

  • € 846.00 / 200µg

Please to purchase this item. Need a web account? Register with us today!

This item is not returnable. View return policy

Description

Description

Sequence of this protein is as follows: RRLEPAIQKF IKIVIPTDLE RLRKHQINIE KYQRCRIWDK LHEEHINAGR TVQQLRSNIR EIEKLCLKVR KDDLVLLKRM IDPVKEEASA ATAEFLQLHL ESVEELKKQF NDEETLLQPP LTRSMTVGGA FHTTEAEASS QSLTQIYALP EIPQDQNAAE SWETLEADLI ELSQLVTDFS LLVNSQQEKI DSIADHVNSA AVNVEEGTKN

SNAREs, soluble N-ethylmaleimide-sensitive factor-attachment protein receptors, are essential proteins for fusion of cellular membranes. SNAREs localized on opposing membranes assemble to form a trans-SNARE complex, an extended, parallel four alpha-helical bundle that drives membrane fusion. STX17 is a SNARE of the autophagosome involved in autophagy through the direct control of autophagosome membrane fusion with the lysosome membrane. STX17 may also play a role in the early secretory pathway where it may maintain the architecture of the endoplasmic reticulum-Golgi intermediate compartment/ERGIC and Golgi and/or regulate transport between the endoplasmic reticulum, the ERGIC and the Golgi. (Uniprot).
TRUSTED_SUSTAINABILITY
Specifications

Specifications

STX17
Monoclonal
1 mg/mL
PBS with 50% glycerol, 0.5% BSA and 0.09% sodium azide
P56962
STX17
Recombinant human STX17 (immunogen range is 11-220).
200 μL
Primary
Human
Antibody
IgG1
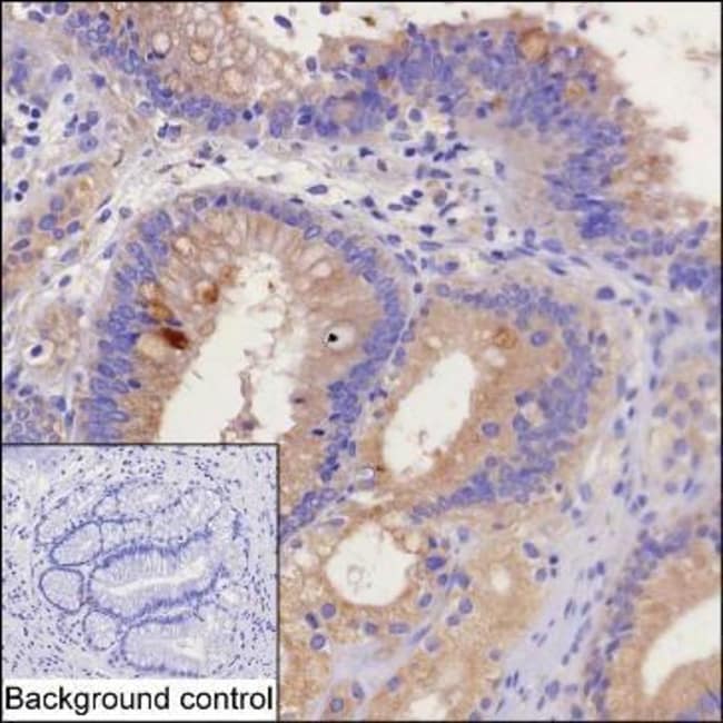
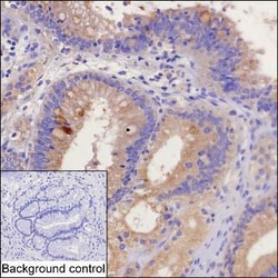
Immunohistochemistry (Paraffin), Western Blot
K52003_13F1
Unconjugated
STX17
4833418L03Rik; 6330411F21Rik; 9030425C21Rik; AW048351; Stx17; syntaxin 17; syntaxin-17
Mouse
Protein A
RUO
55014
Store at 4°C short term. For long term storage, store at -20°C, avoiding freeze/thaw cycles.
Liquid
Product Suggestions

Product Suggestions

Videos
SDS
Documents

Documents

Certificates
Promotions

Promotions

Product Content Correction

Your input is important to us. Please complete this form to provide feedback related to the content on this product.

Product Title

By clicking Submit, you acknowledge that you may be contacted by Fisher Scientific in regards to the feedback you have provided in this form. We will not share your information for any other purposes. All contact information provided shall also be maintained in accordance with our Privacy Policy.

Thank You! Your feedback has been submitted. Fisher Scientific is always working to improve our content for you. We appreciate your feedback.